首页
科技新知
宇宙奥秘
航空航天
国家地理
历史军事
动物世界
植物世界
远古生物
未解之谜
探索发现
自然现象
考古发现
户外探险
桌面壁纸
环球趣闻
Science News
神秘的地球
科技新知
生命医学
白鲟为附肢进化提供新理论
幼年白鲟 美洲白鲟以其怪诞的样子而闻名,它拥有长长的鼻部,它的卵则被收集来做...
什么让蝙蝠病毒如此致命?
当提到窝藏对人类致命的病毒时,蝙蝠无疑是当之无愧的冠军。这种能够飞行的哺乳动...
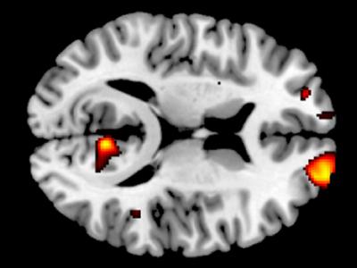
大脑扫描可一定程度预测人的智力
圣路易斯华盛顿大学的科学家研究表明,个体智力的部分差异与连接左侧大脑前额皮质...
人造皮肤研究取得巨大突破
人造皮肤研究取得巨大突破 科学家们可以极其精确地控制“马赛克凝胶”里的细胞...
癌症干细胞确实是肿瘤生长的源头
转基因小鼠的多色肠道组织使得科学家能够追踪引发肿瘤的细胞。 很多时候,那些似...
遗传编码讲述狩猎者故事
远在书写被发明很久之前,当最早的人类穿越非洲迁徙到欧洲时,他们并没有为自己的...
疫苗研究表明需要对更具毒力的疟疾的进化
这幅图片展示了红细胞,其中一些被环状体阶段的疟原虫感染。在一次感染中,寄生虫...
研究发现放射菌为进化树最基底的成员
放射菌 自达尔文出版《物种起源》以来,科学家就一直在努力寻找所有现生物种的共...
科学家发现导致遗传性儿童失明的一个新基因
科学家发现导致遗传性儿童失明的一个新基因 浙大团队发现儿童失明新基因 今天凌...
研究表明一个人大脑中的灰质越多越无私
科学家发现大脑内顶叶和颞叶结合处有更多灰质的人更无私 瑞士苏黎世大学的研究人...
1...
上一页
145
146
147
148
149
150
151
152
153
154
...181
下一页
最新资讯
科学家揭开了16000
15,800年前,基于利物浦大学考古发掘的证据,对皮纳尔巴什进行的艺术重建。图片来源...
埃及刚刚用一个170
毛里西奥·安东重建的Masripithecus moghraensis。图片来源:uux.cn赫沙姆·萨拉姆...
航天卫星发现一座隐
ERT调查的场地几何形状和布局。第一组二维ERT剖面用蓝线表示(A组),第二组用红线...
考古学家发现了一座
考古学家发现了一座神秘的金属锻炉,连续运营了八个世纪。图片来源:uux.cn安妮·梅...
这项3世纪的发现证
那个女人。(a)1862年洛里凯绘图:第九版第十一号。(b)胸部细节。图片来源:uux...
斯堪的纳维亚最大的
Raknehaugen于1906年。图片来源:uux.cn奥斯陆文化历史博物馆 / 欧洲考古学杂志(2...
一些大质量恒星正从
双黑洞质量的重构分布。主质量m1按定义大于次级质量m2<m1。联合分布π(m1, m2...
科学家发现了30首来
《开罗皇帝》片段(P. Fouad,第218页)。图片来源:列日大学 / N.Carlig(神秘的地...
大小如木星的“禁忌
一位艺术家构思的气态巨行星TOI-5205 b绕着一颗小型冷红矮星运行。 图片来源:uux....
NASA1977年搭载在旅
指挥中心的侧面视图,工程师们监控旅行者号的航行(左图)。Artemis II发射团队成员...