被动吸烟者患重度痴呆症的危险几率更高
被动吸烟者患重度痴呆症的危险几率更高
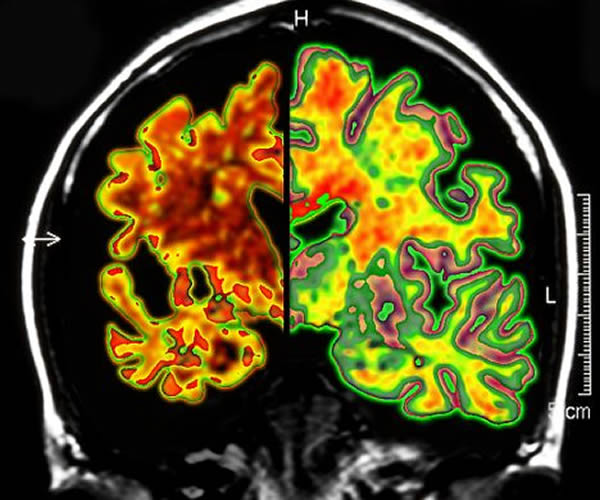
这张为痴呆综合症令大脑萎缩的图片
由中国安徽省的医学专家和英国国王学院的研究人员组成的调查组调查了中国中东部的5个省份,调查了近6000名、平均年龄均在60岁以上的志愿者,结果发现,被动吸烟者患重度痴呆症的危险几率更高。该研究也是发现被动吸烟与神经科疾病之间有重要联系的首例。
据了解,被动吸烟又称为“二手烟”,我们知道吸二手烟会导致严重的心血管疾病和呼吸疾病,其中包括冠心病、肺癌等。但是,由于一直以来缺乏相关研究,人们始终无法确定被动吸烟是否会提高患痴呆疾病的几率。据悉,研究小组在2001年到2003年之间专门对这些参与者做了关于痴呆综合症的评测,在2007年和2008年时,又再一次对他们进行了评测,并评测了他们在这几年间吸二手烟的程度。
研究结果发现,10%的试验者患上严重得痴呆综合症,并且这与他们接触二手烟的频率与时间长短都有关联。这些患有痴呆综合症的试验者大多为从不吸烟者,或者刚刚吸烟不久者。研究负责人陈博士表示,被动吸烟本就应该被看成是一种患上痴呆综合症得重要危险因素,因此,人们若不想患上痴呆综合症,就应该避免被动吸烟。他还表示,因被动吸烟患得痴呆综合症的概率与还患得冠心病的概率相当。目前,世界上90%的人口都居住在无“无烟区”的城市。因此人们若想降低患上这些疾病的概率,就要减少与二手烟接触的频率。
搜狐科学 尚力














