研究动物也许有助我们解开癌症之谜
加州海狮在已知野生动物中罹癌率最高。科学家试图厘清病毒与泌尿生殖系统相关癌症的关系。 PHOTOGRAPH BY CESARE NALDI, NATIONAL GEOGRAPHIC CREATIVE
加拿大东部的圣劳伦斯河口,白鲸为多重器官并发癌症所苦。研究指出白鲸的癌症与重度工业污染有关,部分化学物可能会抑制免疫系统。 PHOTOGRAPH BY DAVID DOUBILET, NATIONAL GEOGRAPHIC CREATIVE
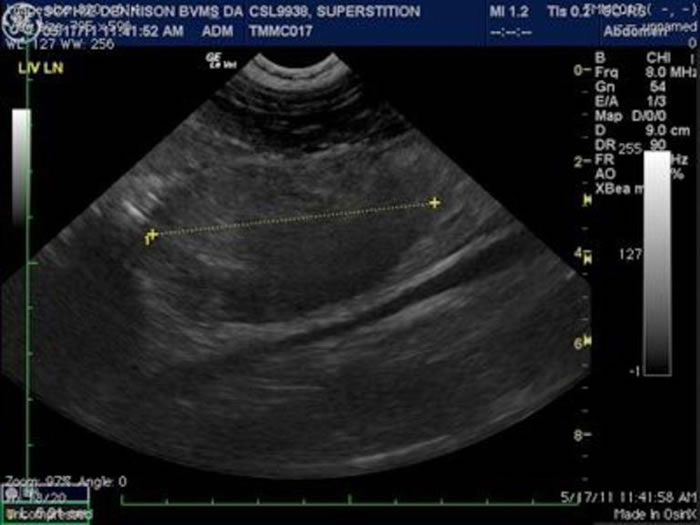
海洋哺乳动物中心为一只加州海狮照超音波,测量腹部肿瘤。这只昵称为「迷信」的海狮死于癌症。 PHOTOGRAPH BY THE MARINE MAMMAL CENTER
(神秘的地球uux.cn报道)据美国国家地理(撰文:Jane Kay 编译:曾柏谚):搞懂加州海狮、加拿大白鲸与澳洲袋獾何以易受癌症所苦,也许有助于我们解开癌症之谜。
某个位在加州索萨利托(Sausalito)办公室的门骤然打开,原来是艾莉莎·戴明(Alissa Deming)忙着为一只搁浅的加州海狮做超音波检查,但她还需要上司─ ─钻研海洋哺乳类癌症廿年的兽医主任弗兰西斯·格兰德( Frances Gulland )的意见。
戴明说:「症状包括子宫扩张与内膜增厚,我想这属于子宫内膜异位(endometriosis)的病例。」她是非营利海洋哺乳动物救伤与研究中心的动物病毒学家,该中心位于马林岬,与旧金山相望。
戴明认为加州海狮是生殖相关癌症最新一波的受害者。
格兰德抱持怀疑态度。长年从事野生动物救护的她,有着一身精实的小麦色身材。基于为野生动物诊断的经验,她初步判断这头海狮可能正从流产中复原,因此子宫尚未回复正常大小。不过格兰德答应在飞往墨西哥为两头在加湾搁浅的罕见加湾鼠海豚遗体检查之前,先为这头海狮做进一步的检验。戴明对此十分感激,她知道检验后可得知这头海狮哪些组织产生癌病变。她强调:「大家都想跟格兰德合作。」
格兰德与伙伴整理加州海岸动物的泌尿生殖罹癌数时,发现了海狮有着已知野生动物中最高的罹癌率。
早在廿年前,他们发现从1979年开始累积的资料显示,高达18%的海狮罹患泌尿生殖相关癌症(370只中有66只);近年来团队发现海狮罹癌率依旧居高不下。很快的,他们在病死动物身上发现一种顽强病毒。
这项关于海狮的研究有助于理解癌症──这个野生动物的大麻烦,而也许能更进一步改善人类的癌症难题。解开基因、病毒与环境交互作用下引发癌症的关键,也许就在于海洋哺乳类动物;从根本上解释癌症如何生成。
针对死于癌症与安然无恙的海狮进行比较,研究人员确认某些特殊基因会提高罹癌机率。接着,他们尝试厘清代号OtHV1的病毒作用为何:会致癌吗?或只是存在于海狮生殖道内的良性疱疹病毒呢?
解答将对人类与动物的健康有着深远影响。如果我们能知道疱疹病毒是如何致癌,科学家就能找到避免类似病毒影响人类细胞的方法。
大多数野生动物不罹癌
研究人员猜想野生动物依然会罹患某种形式的癌症,但是比例并不如人类这么高;也由于在野外发现的病例实在太少,所以比较它们与人类的罹癌率并没有任何统计效力。
「除了特定族群,在我们检测的例子里,野生动物的罹癌率实在太低。」瓦莱莉·雪恩巴克斯勒(Valerie Shearn-Bochsler)说。她是兽医病理学家,服务于威斯康辛州麦迪逊市的国家野生动物健康中心。
逾41年累积约40万件的动物样本里,最多仅2%的病例被诊断出肿瘤。
雪恩巴克斯勒解释,除非是族群数目锐减,或那些被大量研究与保护的物种出现高度病例,不然因癌症死亡的案例通常都会被忽略。举例来说,该中心调查过西北太平洋的北方海獭、北卡罗莱纳的红狼与全美的秃鹰,癌症并不是这些动物显著的死因。
「绝大多数的野生动物死亡并未被注意到。我们经手的每个癌症病例,同一地区也许有其他同类或一只都没有;会发现动物尸体几乎都是因为有人经过被绊倒,会知道它们罹癌症也是因为有各别检查。但倘若癌症真的在野外造成重大病情,便易于侦测与研究,最终结果将反应在罹癌率的统计上。」雪恩巴克斯勒补充说。
有个奇特的案例;澳洲一度相当普遍的有袋动物──袋獾,在1990中叶开始传染一种面部癌症,导致该物种数量下滑,如今到了濒临灭绝的地步。生活在佛罗里达、夏威夷与加勒比等污染海域中的绿蠵龟与其他海龟,遭受病毒感染的比例亦逐渐上升。
戴明在佛罗里达大学的博士班指导教授、兽医詹姆士·威廉罕( James Wellehan)表示,动物罹癌是因为上了年纪、DNA受损。某些物种比起其他物种有更深入的研究;至于那些长相不可爱不讨喜的动物,则无法吸引到研究经费。
人&兽都得面对病毒威胁
研究野生动物,特别是哺乳类,有助于人类改善与万物共同面对的困境,诸如化学污染、病毒与其他细胞有害物质。
禁猎后,圣劳伦斯河口的白鲸数量始终无法回升,这让加拿大的研究人员开始调查该地区的水域污染情况,进而揭露了白鲸癌症皮疹的情况。
「数年来我们发现除了加州海狮外,放养的海洋哺乳类族群比起其他族群,有着异常的癌症数量。」兽医斯特凡·莱尔(Stephane Lair)说,他同时也是魁北克的加拿大野生动物健康合作中心主任。
白鲸的肺、胃、肠、肾上腺、膀胱、及肝,都出现了肿瘤,这代表病毒并非致癌成因。
莱尔提到,针对有毒化学污染的严格管控已开始奏效。尽管河口的其他化学物质可能仍存在其他问题,例如幼小白鲸的寄生与细菌感染率,以及新生白鲸的死亡率提高,但白鲸的恶性肿瘤数已经开始减少。
太平洋沿岸的污染可能弱化了海狮的免疫系统,这或许能解释进入体内的病毒如何扎根并衍生成癌症。
「我们想知道污染物如多氯联苯(PCBs)与滴滴涕(DDTs)是否抑制了海狮的免疫反应,进而使疱疹病毒得以大量繁衍。我们认为污染物使免疫系统无法正常运作,因为如果免疫系统健全,理应可以抵御这些疾病。」格兰德说。
根据一篇十年前的研究,比起未罹癌的海狮,罹癌海狮的鲸脂含有更高浓度的多氯联苯与滴滴涕。
格兰德主事的一间新海狮癌症联盟,试图厘清病毒如何致癌,同时这也能为人类癌症提供进一步的资讯。病毒感染在人类或动物癌症里占了15到20%的成因。研究者怀疑病毒是白鲸的胃乳头状瘤、佛州海牛与港口海豚的皮肤乳头状瘤,以及大西洋瓶鼻海豚的恶性淋巴瘤病因。
在剑桥大学专攻袋獾DNA的伊莉莎白·墨奇森(Elizabeth Murchison)报告指出,澳洲袋獾经噬咬、具高度传染性的癌症,相关研究有了新进展──该癌症并非肇因于病毒,而是癌细胞的直接移转。
最初是野生动物摄影师报导了袋獾身上的肿瘤,接着田野生物学家发现袋獾数量锐减,科学家发现了一件离奇的事──所有肿瘤有着相同染色体,几乎起源于单一个细胞。
这意味着这些肿瘤细胞是以类似嫁接的方式进入这些袋獾,避开了免疫系统的防御,而此类传染性癌症仅见于犬只花柳性肿瘤,以及从马里兰州至爱德华王子岛的海螂蛤(soft shell clams)身上某种类似白血病的症状。
「如果我们可以了解癌细胞如何躲过与抵御免疫系统,也许可以找到某些免疫疗法来协助袋獾免于灭绝,更可能应用在人类身上。」墨奇森说道,「我们希望未来能了解更多,在此之前,还有很长的一段路要走。」















