英国约克大学新校区发现铁器时代人类头颅
英国约克大学新校区发现铁器时代人类头颅
科学家发现2500岁的保存完好的人类人脑
科学家们表示没有证据表明这具颅骨是因为香料或药材等防腐剂及“烟熏”等因素而保存到现在的
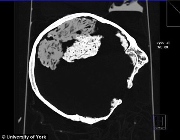
据英国《每日邮报》报道,在即将被建成英国约克大学(University of York)所属新校区的地方发现了一个保存完好的铁器时代人类头颅,令人吃惊的是颅骨内的软组织也就是大脑依然保存完好。
这颗头颅是在一个泥坑里被发现的。科学家通过运用碳定年法进行 测试发现这具颅骨已经有大约2,500岁。科学家们相信他们发现的这具颅骨是“世界上最古老”的颅骨,颅骨的主人生活在铁器时代并且是在祭祀仪式上被杀的。
据悉,在发掘这具颅骨时,一名研究人员把手伸进颅骨时惊奇地发现这具已有2,500年历史的颅骨的软组织依然保存完好。这具颅骨上的骨伤及刻痕显示,这名年龄在26岁至45岁之间的男士很可能是在被勒死之后,他的头被“小心地”斩下来并保存起来,而他的身体则由其“自生自灭”。科学家们对这具颅骨的脑组织“如何在这么长的时间内保持完整”感到很迷惑,一般情况下颅骨的脑组织在几年时间内便会腐烂。
布拉德福德大学(University of Bradford)的考古学家索尼亚•奥康纳(Sonia O'Connor)表示,在其它软组织不存在的情况下大脑的软组织还存在,这种情况是非常罕见的。发现这个大脑真的很令人兴奋,尽管它是英国有记录以来最早的此类发现并且也是世界最早的这种类型的发现之一,但它保存完好。”
约克大学组织了一个由科学家、考古学家、化学家等组成的团队,以“解开”在其它软组织不存在的情况下这个大脑的软组织人如何保持到现在迷惑。据悉,在发现了这具“古老的”颅骨之后,这具颅骨就被保存在“严格控制”的环境中。科学家们运用一系列的复杂设备对这具颅骨的样本进行了各种复杂的测试包括在约克医院进行CT扫描,以及在约克大学运用质谱仪进行分光计测试。通过运用碳定年法进行测试,科学家们发现这具颅骨的主人应该是生活在公元前673-482年。目前科学家们正在对这个大脑中发现的脂质和蛋白质进行研究,以找出这个大脑能够如此完好的保存下来的原因,以及死者在死之前发生过什么 。研究人员表示,尽管在铁器时代看起来有“战利品颅骨”这样的游戏,而目前已发现的证据表明保存完好的人类大脑最早也是源于铜器时代,但没有证据表明这具颅骨是因为香料或药材等防腐剂及“烟熏”等因素而保存到现在的。
搜狐科学(尚力)














