首页
科技新知
宇宙奥秘
航空航天
国家地理
历史军事
动物世界
植物世界
远古生物
未解之谜
探索发现
自然现象
考古发现
户外探险
桌面壁纸
环球趣闻
Science News
神秘的地球
科技新知
英国推出可由耳机皮夹瞬间化身成立体头戴
英国皮革品牌公司推出可由耳机皮夹瞬间化身成立体头戴式耳机座的“Peak Headphone ...
福建福州海关在越南糯米中截获米淡墨虫、
福建福州海关在越南糯米中截获米淡墨虫、黑腹果蝇和拟叩甲等多...
陕西西安电子科技大学研发“高压静电防病
陕西西安电子科技大学研发“高压静电防病毒电子口罩” 获得相...
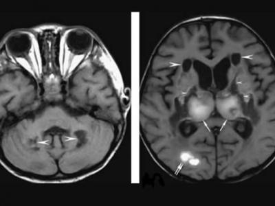
新冠肺炎患者现罕见并发症“急性坏死性脑
新冠肺炎患者现罕见并发症“急性坏死性脑病变” 精神错乱中风(神秘的地球uux.cn报...
美国德州休斯敦莱斯大学的奥什曼工程设计
美国德州休斯敦莱斯大学的奥什曼工程设计坊开发成本仅300美元的的代用呼吸机(神秘...
为保护灵长类动物不被人类传染 刚果与卢
为保护灵长类动物不被人类传染 刚果与卢旺达将暂时关闭境内的...
9000万年前南极洲拥有茂密的雨林和温和气候
9000万年前南极洲拥有茂密的雨林和温和气候(神秘的地球uux.c...
日本科学家发现在大洋底以下100多米的古
日本科学家发现在大洋底以下100多米的古老火山岩中生活着高度...
丹麦设计师推出迷你扫把套装SWEEP 外形雅
丹麦设计师推出迷你扫把套装SWEEP 外形雅致似玉佩(神秘的地球...
英国LAYER DESIGN新推出CANOPY3合1猫床及
英国LAYER DESIGN新推出CANOPY3合1猫床及MESA猫碗套装(神秘的...
1...
上一页
326
327
328
329
330
331
332
333
334
335
...1406
下一页
最新资讯
首个宇宙碰撞在距离
艺术表现恒星北落师门环绕盘中两个行星相撞的过程。图片来源:uux.cn托马斯·穆勒(...
两颗中子星可能形成
这位艺术家的概念展示了一个假设的事件,称为超千新星。一颗大质量恒星在超新星爆炸...
古代蜜蜂在骨头内产卵
一块哺乳动物头骨化石,牙齿窝里的沉积物,原来是史前蜜蜂筑的巢穴。图片来源:uux...
腹泻拖慢了罗马士兵
位于英格兰北部靠近哈德良长城的罗马堡垒温多兰达的三世纪浴场和厕所建筑。图片来源...
星际彗星3I/ATLAS在
星际彗星3I/ATLAS在X射线下发光,它可能隐藏着我们从未见过的气体。图片来源:uux....
天文学家在银河系半
半人马座欧米茄球状星团。图片来源:uux.cn查克·阿尤布(神秘的地球uux.cn)据今日...
天文学家发现一个行
示例是基于每个伴星的深曝光10′′ K波段图像堆栈的Keck/NIRC2信噪比映射。这些映射...
银河系边缘巨大的新
美国宇航局的詹姆斯·韦伯太空望远镜最近在我们银河系边缘的Sh2-284星团中拍摄到了...
地球的起源故事可能
本研究假设的系统的示意图。图片来源:uux.cn科学进展(2025年)。DOI: 10.1126/s...
Terra Amata遗址揭
Terra Amata遗址有助于理解欧洲最早人类的技术灵活性。图片来源:uux.cn西班牙国家...