“曾吃过人脑”的食人部落居民会导致基因突变 对库鲁病形成抗体作用
最新研究显示,食人部落体内基因突变,能够一种能够抵御致命大脑疾病的抗体。
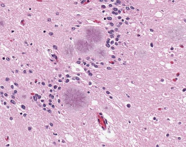
(神秘的地球报道)据腾讯科学(悠悠/编译):巴布亚新几内亚食人部落传播着一种叫做“库鲁病”的致命大脑疾病,对该部落构成致命打击。但目前科学家最新研究表明,“曾吃过人脑”的食人部落居民会导致基因突变,并对库鲁病形成抗体作用。
这项发现有助于研究人员更好地理解这种致命大脑疾病,并研制新的方法治疗患者。巴布亚新几内亚部落通常在葬礼中吞食死者的大脑,20世纪初,部落成员开始出现库鲁病,这是一种传播朊病毒的脑神经障碍疾病,导致大脑受损。库鲁病于20世纪50年代达到传播高峰期,每年导致2%的部落成员死亡。之后该部落开始停止吞食人脑,从而使库鲁病死亡率逐渐下降,但是由于该疾病已传播多年,在接下来的几十年里仍不断导致部落成员死亡。
近期,研究人员发现部落一些幸存者携带着V127突变基因,然而库鲁病患者并没有这种基因变异,从而使科学家猜测V127突变基因对库鲁病具有免疫能力。
在一项最新研究中,研究人员对老鼠体内注入V127突变基因,之后让它们感染朊病毒,结果表明具有一个V127突变基因的老鼠对库鲁病免疫,并对另外一种类似疾病“传统克雅二氏症”具有抗性,具有两个V127突变基因的老鼠不仅对以上两种疾病免疫,还对“变异克雅二氏症”免疫。
这项最新研究显示,虽然当地部落停止食用人脑可使库鲁病传播率下降,但如果该疾病继续扩散,该地区将出现库鲁病免疫人群。该研究报告发表在6月10日出版的《自然》杂志上。
最为重要的是食人行为并不直接导致当地居民对库鲁病产生抗体,基因突变很可能存在于库鲁病广泛传播之前,当人们开始体内基因突变逐渐对库鲁病产生抗性,死亡率也逐渐下降。研究报告负责人、英国伦敦大学学院神经变性教授约翰-科林奇(John Collinge)博士说:“这是一个类型的达尔文人类进化实例,朊病毒传染病选择了一个简单的基因变异,从而提供完整的防护,使人们对该疾病产生抗体。”












