科学家发现结直肠肿瘤如何“隐藏”免疫系统——以及如何阻止它们
科学家发现结直肠肿瘤如何“隐藏”免疫系统——以及如何阻止它们
(神秘的地球uux.cn)据今日科学新闻:长期以来,结直肠癌一直是人类最顽固的敌人之一。它的临床名称背后隐藏着一个毁灭性的事实——它是全球癌症死亡的主要原因之一。每年,数十万人面临着诊断的残酷现实,这种诊断既充满恐惧又充满不确定性。近年来,医学在利用人体自身防御能力进行反击方面取得了非凡的进步。免疫疗法曾经被认为是科幻小说,现在通过唤醒免疫系统来识别和破坏癌细胞来挽救生命。然而,对于大多数转移性结直肠癌患者来说,这场革命还没有达到要求。不知何故,他们的免疫系统对肿瘤的存在视而不见。
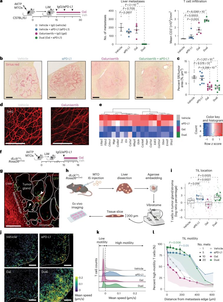
一项新研究发表在《自然遗传学》上,由巴塞罗那 IRB 的 Eduard Batlle 博士和 Alejandro Prados 博士以及 CNAG 的 Holger Heyn 博士领导,在了解原因方面迈出了重要一步。他们的工作表明,结直肠肿瘤不仅会生长,还会建立防御系统,建立复杂的双重屏障,防止免疫细胞发动攻击。这个看不见的堡垒由一种名为 TGF-β(转化生长因子 β)的激素精心策划,可能掌握着为目前几乎没有选择的患者开启新的、更有效的治疗方法的钥匙。
癌症的隐秘堡垒
多年来,肿瘤学家已经知道,肿瘤不仅仅是不受控制地繁殖的流氓细胞簇。它们是活生生的生态系统——复杂、动态的环境,癌细胞纵周围环境以求生存。这项新研究揭示了结直肠肿瘤如何使用 TGF-β 作为他们的秘密武器。
TGF-β是存在于人体内的天然分子。在正常情况下,它在愈合伤口、调节炎症和保持细胞生长平衡方面发挥着重要作用。但在癌症的扭曲逻辑中,本应治愈的东西变成了伤害的盾牌。研究表明,结直肠肿瘤劫持 TGF-β 以形成双重防御系统,有效地隐藏它们免受免疫攻击。
第一道防线在于血液。TGF-β 发送信号,阻止 T 淋巴细胞(专门用于寻找和破坏异常细胞的白细胞)到达肿瘤。即使免疫系统可能识别出问题,它也无法向战场派遣足够的士兵。
第二道防线发生在肿瘤本身内部。对于少数设法溜走的 T 细胞,TGF-β 改变了周围的环境。它将支持性免疫细胞(称为巨噬细胞)变成共犯。这些重新编程的巨噬细胞开始产生一种叫做骨桥蛋白的蛋白质,它会麻痹少数浸润的 T 细胞并阻止它们繁殖。肿瘤被自身的化学雾包围,身体的防御系统几乎看不见。
“我们的研究表明,肿瘤通过纵环境来减缓免疫反应,从而在两个方面抵御免疫疗法,”ICREA 研究教授兼巴塞罗那 IRB 结直肠癌实验室负责人 Eduard Batlle 博士说。“了解肿瘤和免疫系统之间的这种交流语言为设计可以停用这些防御的策略打开了大门,从而提高了免疫疗法的疗效。”
近距离观察敌人
为了揭示这些机制,研究团队采用了现代生物学中最先进的工具之一——单细胞测序。这项技术使科学家能够逐个研究肿瘤内的单个细胞,揭示前所未有的细节水平。
“通过对肿瘤微环境中的单个细胞进行测序,我们已经能够表征受 TGF-β 影响的主要参与者,”CNAG 单细胞基因组学小组负责人 Holger Heyn 博士解释道。“应用最先进的技术,我们观察了 TGF-β 如何阻断免疫治疗效果,并确定了新的治疗靶点来改善结直肠癌的治疗。”
研究人员结合了小鼠转移实验模型和患者肿瘤样本的见解。出现的是一幅清晰而复杂的画面:TGF-β 就像分子导体一样,在整个肿瘤领域编排了一首抑制的交响乐。结果是一种微调的耐药性,使免疫疗法无法发挥作用。
打破障碍
如果肿瘤的防御能力能够被瓦解,免疫系统最终能否占上风?该团队测试了这个问题。通过在实验模型中阻断 TGF-β 的活性,他们发现了一些非凡的事情——免疫细胞突然能够涌入肿瘤并以新的力量攻击它。
PD-1-PD-L1 相互作用抑制 T 细胞运动,但不通过 TGF-β 信号传导抑制 T 细胞运动。图片来源:uux.cn自然遗传学 (2025)。DOI:10.1038/s41588-025-02380-2
“在我们的实验模型中,当我们阻断 TGF-β 的作用时,免疫细胞能够大量进入肿瘤并恢复攻击能力,”该论文的第一作者 Ana Henriques 博士说。“此外,当将这种阻断与免疫疗法相结合时,我们观察到非常有效的抗肿瘤反应。”
这一发现很强大,因为它表明 TGF-β 不仅仅是众多障碍之一,它可能是控制结直肠癌免疫耐药的主要开关。当这个开关关闭时,免疫系统就会苏醒。
通往更安全治疗之路
虽然已经有可以抑制 TGF-β 的药物正在开发中,但由于显着的副作用,它们在患者中的使用受到限制。TGF-β 在全身发挥作用,而不仅仅是在肿瘤中,因此完全关闭它会导致严重的并发症。现在的挑战是找到更聪明、更有选择性的方法来干扰其有害行为,同时保持其正常功能。
这项研究在这方面带来了新的希望。研究人员建议不要针对 TGF-β本身,而是关注它激活的分子,例如骨桥蛋白。通过阻断这些下游信号,医生可能能够中和肿瘤的防御能力,而不会造成广泛的伤害。
“无论如何,这些替代方案都需要在临床试验中进行评估,并且始终与免疫疗法相结合,”Batlle 博士指出。“了解这个电路使我们能够寻找更安全、更具选择性的解决方案。免疫疗法的最终目标是能够使大多数转移性结直肠癌患者受益,“曾在巴塞罗那 IRB 工作、现任研究员的 Prados 博士补充道格拉纳达大学。
希望在地平线上
癌症生物学的每一个发现都是一条漫长而曲折的道路上的一步——一条充满坚持、创造力和同情心铺就的道路。这项新研究的意义不仅在于科学本身,还在于它所代表的意义:为已经用尽选择的患者带来了新的希望。
可以教导癌症从免疫系统中“隐藏”自己的概念可能会彻底改变我们不仅治疗结直肠癌的方式,而且还会改变我们治疗其他类型的结直肠癌的方式。许多肿瘤采用类似的策略来逃避免疫检测,而 TGF-β 的双重屏障可能是癌症防御剧本的普遍特征。通过解码它,科学家可以解锁新的疗法,能够将严峻的预后转化为可生存的条件。
科学背后的人类故事
研究中的每个数据点背后都隐藏着一个患者的故事——一个人坐在诊所里,等待一种可以给他们更多时间、更多生命的治疗。科学突破在纸面上往往显得冷酷而技术性,但它们的目的却是深刻的人性化。
这项工作背后的研究人员不仅仅是出于好奇心。他们受到同理心的驱使,受到知道了解一个分子的行为可以改变成千上万人的生活的安静紧迫感的驱使。在他们的实验室里,在显微镜和测序机的嗡嗡声下,他们正在改写我们如何与癌症作斗争的故事——不是用蛮力,而是用精确、耐心和对生物学优雅的深深尊重。
迈向癌症治疗的新时代
当今的癌症研究正在进入一个新时代——这个时代的重点从不惜一切代价摧毁肿瘤转向了解肿瘤的智力。肿瘤不是被动的细胞块;它们是不断进化的实体,学会适应、抵抗和生存。为了智胜他们,医学必须学会说他们的语言。
TGF-β 双重屏障的发现提供了这一点——让我们得以一窥癌症的内部对话。通过了解它如何与免疫系统沟通,我们可以开始改变它自己的策略来对抗它。免疫疗法曾经仅限于少数幸运者,但可能成为更多人的武器。
在生命与疾病的大战中,每一个见解都很重要。这项细致而深刻的研究提醒我们,即使在最黑暗的复杂中,知识也能带来光明。
触手可及的未来
随着科学不断揭开免疫系统和癌症隐藏策略的奥秘,治疗的未来不仅仅是医学的问题,而是想象力的问题。也许有一天,由于这样的发现,免疫疗法将不再是一场赌博,而是一条有保障的生命线——一把释放身体全部愈合潜力的万能钥匙。
目前,Batlle、Prados、Heyn 博士及其团队的工作既清晰又充满勇气。它告诉我们,进步是可能的,癌症筑起的墙确实可以被打破,只要有足够的坚持、理解和同情心,即使是最隐匿的疾病也可以被智取。
结直肠癌仍然是一个强大的对手。但科学在洞察力和人性面前,正在学习如何说出它的语言——而且慢慢地、肯定地,让它保持沉默。
更多信息:Ana Henriques 等人,TGF-β 通过损害 T 细胞募集和指导免疫抑制 SPP1+ 巨噬细胞在结直肠癌中建立双重免疫屏障,自然遗传学 (2025)。DOI:10.1038/s41588-025-02380-2。














