首页
科技新知
宇宙奥秘
航空航天
国家地理
历史军事
动物世界
植物世界
远古生物
未解之谜
探索发现
自然现象
考古发现
户外探险
桌面壁纸
环球趣闻
Science News
神秘的地球
科技新知
研究发现3种药物能抑制新型冠状病毒复制
研究发现3种药物能抑制新型冠状病毒复制(神秘的地球uux.cn报道)据ETtoday(许力方...
研究发现新型冠状病毒nCoV-2019与蝙蝠的
研究发现新型冠状病毒nCoV-2019与蝙蝠的冠状病毒序列一致性高达96%(神秘的地球uux...
“加洛威在线”:索马里由于爆发蝗灾全国
“加洛威在线”:索马里由于爆发蝗灾全国进入紧急状态(© AFP 2019 / Samuel ...
中国卫生部门公开一名感染2019-NSV冠状病
中国卫生部门公开一名感染2019-NSV冠状病毒的女性患者的肺部图片( © 照片 : ...
泰国发现可有效治疗2019-nCoV冠状病毒患
泰国发现可有效治疗2019-nCoV冠状病毒患者的抗艾滋病和抗流感药物组合(© Spu...
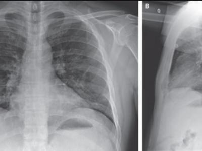
感染2019新型冠状病毒的美国男子注射吉利
患者住院第6天的胸部X光(神秘的地球uux.cn报道)据ETtoday(詹雅婷、丁维瑀):各...
广东增城商人不甩新冠肺炎 不顾被举报多
广东增城商人不甩新冠肺炎 不顾被举报多次照样宰杀野生动物(神秘的地球uux.cn报道...
湖南省邵阳市双清区发生家禽H5N1亚型高致
湖南省邵阳市双清区发生家禽H5N1亚型高致病性禽流感疫情(神秘的地球uux.cn报道)据...
全球聚焦新冠肺炎的同时 美国流感疫情也
全球聚焦新冠肺炎的同时 美国流感疫情也持续扩大死亡超过8000人(神秘的地球uux.cn...
俄罗斯睡眠学会理事会主席教你如何更好入睡
俄罗斯睡眠学会理事会主席教你如何更好入睡(© CC0 / Pixabay)(神秘的地球u...
1...
上一页
374
375
376
377
378
379
380
381
382
383
...1406
下一页
最新资讯
天文学家们以为他们
这位艺术家的概念展示了两个在北落师门恒星轨道上猛烈碰撞的场景。图片来源:uux.c...
这些羽毛恐龙有翅膀
1.6亿年前的Anchiornis化石。图片来源:uux.cn/Communications Biology(2025年)。...
这颗微小的化石头骨
Paleolophus yunnanensis头骨。图片来源:朱敏教授团队(神秘的地球uux.cn)据今日...
这个非洲洞穴保存了
在帕洪洞穴表面发现的陶片。图片来源:uux.cn/Angue Zogo等,2025年,PLOS One,CC...
科学家们解码了350
从内部观察到蒙纳卡洞宽阔的入口,展示野外活动。图片来源:uux.cn费利切·拉罗卡,...
古代冰河时代的基因
古代冰河时代的基因至今可能仍在帮助人类延长寿。图片来源:uux.cn/iStock(神秘的...
在旧博物馆档案中发
2024年6月23日,土耳其范湖盆地的“Rose's polyommatus”。范湖盆地以其气候、丰富...
弱蚂蚁凭借数量优势
从X射线断层扫描中重建的一只蚂蚁工蚁(Myrmoteras sp.)外骨骼的三维重建。图片来...
探索NASA迄今为止最
NASA的SPHEREx用102种红外颜色绘制了整个天空的地图,这些红外颜色对人眼来说是看不...
截瘫工程师成为首位
这张由蓝色起源提供的图片,米凯拉·本索斯在蓝色起源飞船于2025年12月20日星期六降...