首页
科技新知
宇宙奥秘
航空航天
国家地理
历史军事
动物世界
植物世界
远古生物
未解之谜
探索发现
自然现象
考古发现
户外探险
桌面壁纸
环球趣闻
Science News
神秘的地球
科技新知
生命医学
日本干细胞研究或可实现用猪生成人类器官
日本干细胞研究或可实现用猪生成人类器官 科学家发现,只要把一种干细胞注入到另...
大西洋底一种罕见的生命形式:“失落之城”
“失落之城”的典型白烟囱 在白色蛇纹岩中发现的壳体化石 一支由法国和英国的...
科学家研制出将人类皮肤细胞转换成神经元
神经元 在过去的几年里,由于细胞重编取得了一系列进展,有关干细胞研究道德标准...
撒哈拉沙漠以南的非洲人基因流向欧洲及中东
撒哈拉沙漠以南的非洲人基因流向欧洲及中东 一篇关于非洲基因流向欧洲南部的文章...
科学家发现大脑形成语言信号
研究人员已经发现在语言形成过程中大脑发出的信号,也许这能帮助科学家把思想翻译...
运动无需肌肉
耶拿大学迈克尔尼科尔副教授目前研究的重要课题--海绵生物“Tethya wilhelma” 成...
进化虽可逆转但概率极小
一种革兰氏阴性菌的扫描图像 自达尔文提出进化论以来,科学家一直宥于进化能否逆...
趋同演化又一例:地衣
新命名的地衣种Xanthoparmelia hypofusca 那些附着在岩石上、树枝上的低沉黏湿的...
大脑交流能力提升促使电鱼爆发式分异
不同的电鱼拥有不同的电信号频率 发达的大脑能使一两种鱼变成许多种鱼,这听起来...
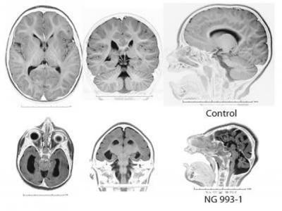
单个基因突变影响人类大脑皮层演化
上图为正常人 下图为严重头小畸形 人类的演化非常重要的特征就是我们大脑的演化...
1...
上一页
153
154
155
156
157
158
159
160
161
162
...181
下一页
最新资讯
科学家揭开了16000
15,800年前,基于利物浦大学考古发掘的证据,对皮纳尔巴什进行的艺术重建。图片来源...
埃及刚刚用一个170
毛里西奥·安东重建的Masripithecus moghraensis。图片来源:uux.cn赫沙姆·萨拉姆...
航天卫星发现一座隐
ERT调查的场地几何形状和布局。第一组二维ERT剖面用蓝线表示(A组),第二组用红线...
考古学家发现了一座
考古学家发现了一座神秘的金属锻炉,连续运营了八个世纪。图片来源:uux.cn安妮·梅...
这项3世纪的发现证
那个女人。(a)1862年洛里凯绘图:第九版第十一号。(b)胸部细节。图片来源:uux...
斯堪的纳维亚最大的
Raknehaugen于1906年。图片来源:uux.cn奥斯陆文化历史博物馆 / 欧洲考古学杂志(2...
一些大质量恒星正从
双黑洞质量的重构分布。主质量m1按定义大于次级质量m2<m1。联合分布π(m1, m2...
科学家发现了30首来
《开罗皇帝》片段(P. Fouad,第218页)。图片来源:列日大学 / N.Carlig(神秘的地...
大小如木星的“禁忌
一位艺术家构思的气态巨行星TOI-5205 b绕着一颗小型冷红矮星运行。 图片来源:uux....
NASA1977年搭载在旅
指挥中心的侧面视图,工程师们监控旅行者号的航行(左图)。Artemis II发射团队成员...