首页
科技新知
宇宙奥秘
航空航天
国家地理
历史军事
动物世界
植物世界
远古生物
未解之谜
探索发现
自然现象
考古发现
户外探险
桌面壁纸
环球趣闻
Science News
神秘的地球
科技新知
生命医学
诊断寨卡病毒的快速准确的“浸渍测试条”
诊断寨卡病毒的快速准确的“浸渍测试条”化验(神秘...
法国里昂科研团队刺激迷走神经 15年植物
病人接受治疗后,扫瞄图中暖色显示的脑部活动迹象(...
《科学》:在预防HIV感染时,两种抗体要
《科学》:在预防HIV感染时,两种抗体要优于一种抗...
巴布亚新几内亚人展示了极大的基因多元性
巴布亚新几内亚人展示了极大的基因多元性(神秘的地...
科学家在小鼠体内确认了可解除口渴感的神
在剥夺水摄取后对下丘脑内侧视前核(MnPO)中的口渴...
科学家发现一种化合物能在小鼠的哮喘模型
科学家发现一种化合物能在小鼠的哮喘模型中引发持久...
免疫细胞可通过触发真菌孢子自杀而中止真
免疫细胞可通过触发真菌孢子自杀而中止真菌感染(神...
研究人员报道新的大脑学习机制 对被广为
研究人员报道新的大脑学习机制,对被广为接受的记忆...
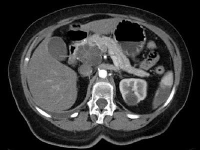
使用合并DNA和蛋白质的“液体活检”来检
使用合并DNA和蛋白质的“液体活检”来检测早期胰腺...
感染时的T细胞反应或对避免出现登革热病
信息图解释了全球登革热感染的程度及新的发现对疫苗...
1...
上一页
72
73
74
75
76
77
78
79
80
81
...181
下一页
最新资讯
这只2.89亿年前的微
2.89亿年前的爬行动物Captorhinus在洞穴系统中摆出死亡姿势。洞穴中的油渗、高矿化...
世界上最古老的章鱼
Pohlsepia mazonensis解剖图。图片来源:uux.cn托马斯·克莱门茨博士,雷丁大学(神...
12.5万年前尼安德特
E. orbicularis上的切割痕迹来自Neumark-Nord 1。图片来源:uux.cn科学报告(2026年...
22万年前,古代人类
乔乔西遗址展示了早期人类用于制作工具的裸露石层。图片来源:uux.cn/Manuel Will ...
天文学家发现了两个
艺术表现描绘了Markarian 501星系中心,两股强大的喷流从中喷射而出。无线电观测以...
木星和土星的卫星完
本研究模拟的艺术家印象图。木星(左下)拥有强大的磁场,在其环绕行星盘中形成一个...
科学家发现了一个1
仙女座XXXVI的OSIRIS+叠加图像,视场为7.8×7.8弧分。在插图中,可以看到仙女座XXX...
古生物学家最终证实
一只水龙兽胚胎在其部分保存的壳体中重建。 图片来源:uux.cn朱利安·贝努瓦和索菲...
宇航员在太空中也会
你在药店买的那个Dulcolax,就是搭乘Artemis II任务时使用的那个。 图片来源:uux....
两个超大质量黑洞正
这两个黑洞有可能在下个世纪内合并。 图片来源:uux.cn/Deposit Photos(神秘的地球...