首页
科技新知
宇宙奥秘
航空航天
国家地理
历史军事
动物世界
植物世界
远古生物
未解之谜
探索发现
自然现象
考古发现
户外探险
桌面壁纸
环球趣闻
Science News
神秘的地球
科技新知
医药健康
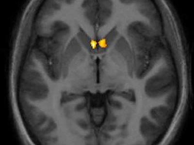
研究发现对大脑适度电击可显著提高数学能力
研究发现对大脑适度电击可显著提高数学能力 据英国卫报报道,最新一项研究表明,...
科学家揭示癌细胞躲避化疗机制
科学家揭示癌细胞躲避化疗机制 许多癌症患者在经过化疗后,病情会得到缓解,通常...
瘟疫病原体起源于中国或其附近
黑死病的致病细菌Yersinia pestis 黑死病的致病细菌Yersinia pestis 一个国际...
德国科学家发现“吝啬基因”
如果你有一位朋友从来都不请客,甚至都很少愿意AA制,那么你也不必太生气,因为这...
英国女科学家患怪病 每日猝睡可达百次
英国女科学家克莱尔·艾伦 对大多数人而言,欢笑和愉悦是快乐生活的一部分。但对...
海洋中最大的病毒
大多数的病毒都是轻装旅行的。它们仅仅携带了合成新病毒所需的少量基因,并依赖其...
日本科学家成功拍摄“超级细菌”首张照片
日本科学家成功拍摄“超级细菌”首张照片 据日本共同社20日报道,日本新潟大学研...
《盗梦空间》或成为现实
在好莱坞大片《盗梦空间》中,一个人可以进入另一个人的梦并进行操控。 片中,...
研究发现癌症是人为疾病 现代生活无节制
对木乃伊的大量研究中,除了一个单独案例之外,科学家未发现癌症痕迹。 漫画家...
《时代周刊》:攻克顽症尚待时日
《时代周刊》:攻克顽症尚待时日 最新的176卷第17期的美国《时代周刊》杂志于20...
1...
上一页
346
347
348
349
350
351
352
353
354
355
...357
下一页
最新资讯
一颗陨石飞越欧洲—
2026年3月8日德国黄昏时分流星穿越天空,这颗明亮的天体曾飞越至少五个国家。 图片...
一只长着奇怪鼻子的
由爱荷华大学领导的研究人员描述并命名了一种新出现的鳄鱼物种,该物种在300多万年...
NASA在意外地点发现
这些图形描绘了钱德拉和其他望远镜可能发现的两颗中子星在一个被巨大气体流掩埋的微...
天文学家首次见证了
艺术家对磁星的构想,它被一个吸积盘包围,而磁星因广义相对论的影响而摇晃或进动。...
2026年黄石公园的第
一只灰熊骑在黄石湖附近的野牛尸体上。这不是最近被发现的那只熊。 uux.cn国家公园...
3I/ATLAS彗星充满酒
展示了3I/ATLAS的艺术想象图,它经过太阳附近,照亮了彗星的一侧。彗星靠近太阳的一...
一罐埋藏的帝国金币
大多数硬币为俄国革命前铸造的10卢布金币。 图片来源:uux.cn俄罗斯科学院考古研究...
2026年3月3日月全食
2026年3月3日月全食的阴影(神秘的地球uux.cn)据美国国家航空航天局:2026年3月3日...
这只贵宾犬大小的古
艺术家在距今已有2.15亿年的化石森林国家公园的环境中重建了Sonselasuchus cedrus。...
科学家终于找到了解
Megamastax amblyodus的化石和高分辨率CT重建......图片来源:IVPP,CAS(神秘的地...