大麻有朝一日能治疗癌症吗?以下是迄今为止科学界的说法
尽管具有重大的科学意义,但尚未显示大麻酚相关化合物可治疗人类癌症。(图片来源:uux.cn/Jamie Grill通过盖蒂图片社)
(神秘的地球uux.cn)据美国生活科学网站(艾米丽·库克):近年来,对大麻潜在医疗益处的研究激增,提出了一个有趣的问题:大麻能治疗癌症吗?
杂草——宣传人员曾警告说会导致“冷藏室疯狂”的高诱导性植物——可能含有缩小肿瘤的成分,这听起来可能有些牵强。然而,专家告诉《现场科学》,有一些早期证据表明,大麻中的活性成分大麻素确实具有抗癌作用。
“没有两种方法:(大麻)具有抗癌特性,”伦敦大学圣乔治学院高级研究员刘伟告诉《现场科学》。“但问题是,如何将其转化为临床——这是一个很难解决的问题。”
以下是我们目前所知道的关于玛丽珍抗癌能力的信息。
什么是大麻素?它们能治疗癌症吗?
大麻植物有700多个品种,著名的例子包括大麻和印度大麻。大麻植物含有一种名为大麻素的物质,或与大脑中的内源性大麻素系统相互作用的化学物质。体内产生的内源性大麻素有助于调节过多的生物功能,包括进食、学习和疼痛识别。
科学家已经鉴定出100多种植物制造的大麻素,它们插入同一系统并影响其活性。这些植物制造的分子包括四氢大麻酚(THC)和大麻二酚(CBD),四氢大麻二酚在很大程度上导致了大麻特有的“高”,大麻二酚不会产生高浓度,但已被研究其潜在的药用效果。
这些和其他大麻素现在也可以在实验室合成。事实上,美国食品和药物管理局已经批准了两种含有合成四氢大麻酚的药物——屈大麻酚和萘比隆,用于治疗化疗引发的恶心和呕吐。
然而,研究大麻素是否能直接缩小肿瘤的研究尚处于早期阶段。目前,它主要局限于在实验室培养皿中对人类或小鼠细胞以及小鼠等动物进行的临床前研究。例如,合成大麻素和植物制造的大麻素已被证明可以阻止小鼠乳腺癌症的生长;在这些实验中,大麻素被直接注射到肿瘤周围的区域,以及结直肠癌、癌症和癌症的细胞中。
刘说,大麻素有几种抗癌特性。例如,在啮齿类动物的研究中,大麻素已被证明可以通过翻转肿瘤细胞中的特定分子开关来抑制癌症细胞的生长。他说,在细胞研究中,大麻素通过向肿瘤中注入称为活性氧的有害分子来破坏肿瘤。
然而,这并不全是积极的——在某些情况下,四氢大麻酚已在动物模型中被证明能促进肿瘤生长。作者建议,这些差异可以通过使用不同剂量的研究和调查不同类型的癌症来部分解释。
尽管具有重大的科学意义,但尚未显示大麻酚相关化合物可治疗人类癌症。(图片来源:uux.cn/janiecbros via Getty Images)
是否有基于大麻素的癌症治疗方法在人体中进行过测试?
任何基于大麻素的癌症治疗方法要进入市场,都需要在人体内进行测试。
伦敦帝国理工学院医用大麻研究小组负责人Mikael Sodergren博士告诉《生活科学》:“在培养皿中的细胞系中观察到的情况与治疗患有癌症的人会发生的情况有很大不同。”。
然而,到目前为止,只有少数小型临床试验,所有试验都集中在一种类型的癌症上:胶质母细胞瘤,这是癌症最具侵袭性的一种脑肿瘤。目前胶质母细胞瘤的治疗存活率很低,这意味着迫切需要新的方法。
在2006年进行的第一项试验中,科学家们表明,将四氢大麻酚直接注射到癌症患者的肿瘤中,可以安全有效地抑制他们的生长。该试验仅包括9名胶质母细胞瘤患者。因此,尽管这些结果令人鼓舞,但该研究的样本量太小,无法对该药物的安全性和有效性得出任何确切结论。
2021年,另一个研究小组公布了另一项早期临床试验的结果,该试验包括27人。一组参与者使用了含有CBD和四氢大麻酚混合物的口腔喷雾剂,并与一种名为替莫唑胺的传统化疗药物相结合。他们每天接受3-12次喷雾(最多30次 CBD毫克和32.4 mg的THC),这取决于它们的最大耐受剂量。所有患者都患有胶质母细胞瘤,经过标准的一线治疗后复发。
这项试验包括一个没有使用大麻素喷雾的对照组,相比之下,接受喷雾的患者在一年后存活的人数几乎是对照组的两倍。
领导这项研究的英国利兹大学临床肿瘤学教授Susan Short博士告诉《生活科学》,目前尚不清楚喷雾如何影响肿瘤生长,但这些化合物可能有助于推动脑肿瘤细胞走向细胞死亡,从而增强替莫唑胺的抗肿瘤活性。
正在进行这项研究的中心现在的目标是招募大约240名患者参加一项更大的中期临床试验。肖特说,他们希望能够在两年内分享试验结果。
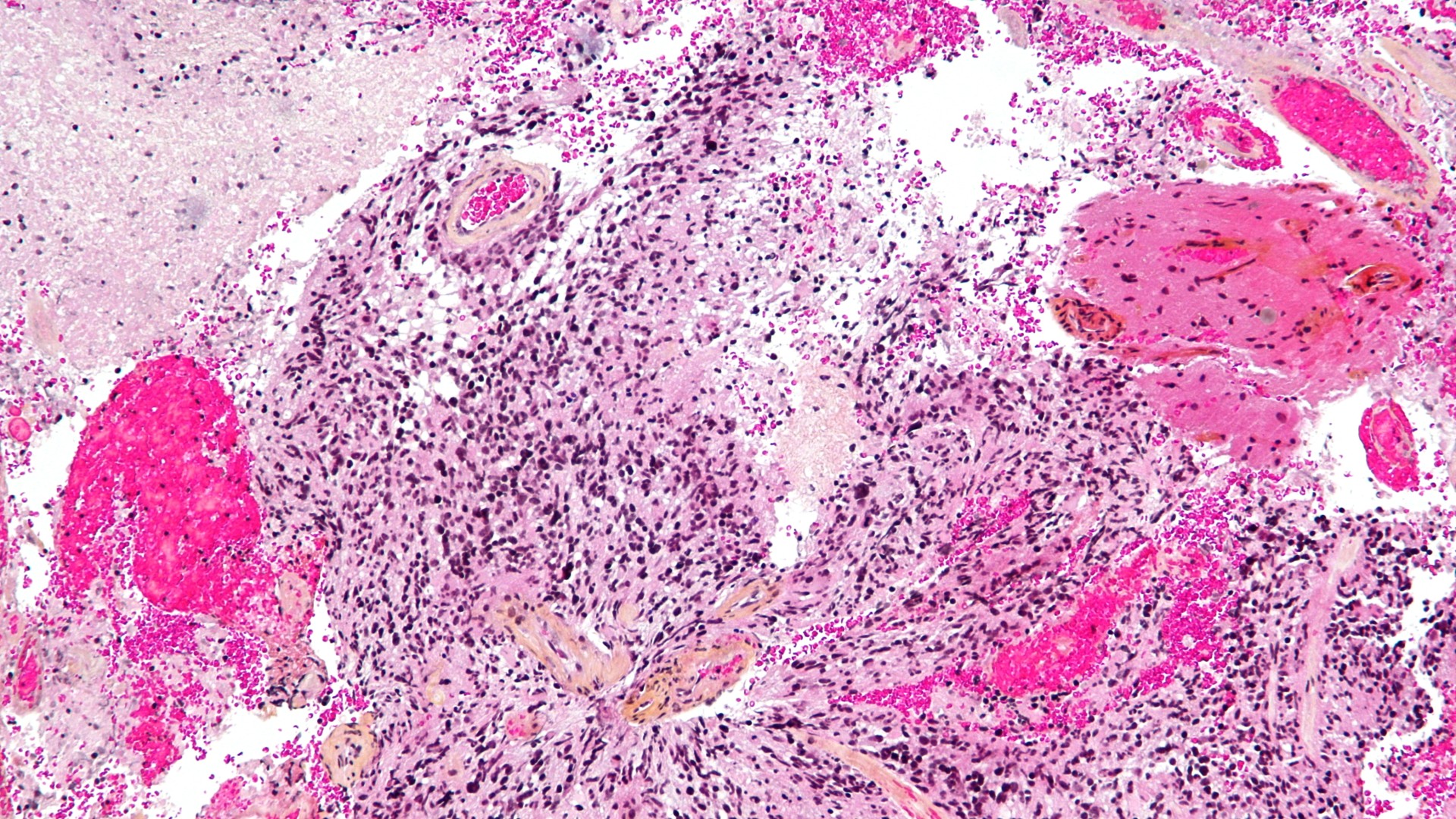
临床研究主要集中在癌症最具侵袭性的胶质母细胞瘤上,如上图显微镜下所示。(图片来源:uux.cn/Nephron,CC BY-SA 3.0 DEED,通过Wikimedia Commonshttps://creativecommons.org/licenses/by-sa/3.0/deed.en)
还有什么未知的?
尽管取得了这一进展,但大麻素如何在分子水平上对抗癌症,以及哪种剂量和给药途径对人类最有效,仍然存在许多问题。
他说,如果被批准为癌症治疗,THC可能必须与另一种形式的癌症治疗相结合,因为只有低剂量才能给患者服用,以避免引发高剂量。在临床试验中,将已证实的治疗方法排除在患者之外也是不道德的,因此单独测试大麻素治疗的效果可能很棘手。
与此同时,宾夕法尼亚州托马斯杰斐逊大学医学助理教授Brooke Worster博士告诉Live Science,科学家在细胞模型中看到的积极信号当然值得进一步研究。这些研究可能有助于阐明大麻素如何影响癌症细胞,以及哪些是最有前景的治疗方法。
不过,与此同时,患者应该对这些研究的结果持保留态度,她说。她说,任何人都不应该利用大麻素的早期数据来避免接受免疫疗法和放射疗法等已知对癌症有效的治疗。
有一种误解认为“自然”治疗总是对你更好。但Worster补充道,鉴于没有黄金标准的证据表明大麻素可以治疗癌症,选择杂草而不是化疗是不可取的。
本文仅供参考,并非提供医疗建议。














