首页
科技新知
宇宙奥秘
航空航天
国家地理
历史军事
动物世界
植物世界
远古生物
未解之谜
探索发现
自然现象
考古发现
户外探险
桌面壁纸
环球趣闻
Science News
神秘的地球
科技新知
生命医学
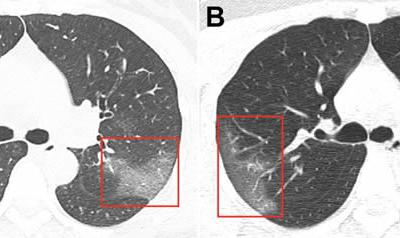
中国卫生部门公开一名感染2019-NSV冠状病
中国卫生部门公开一名感染2019-NSV冠状病毒的女性患者的肺部图片( © 照片 : ...
耶鲁大学研究墨西哥钝口螈基因 有望令人
耶鲁大学研究墨西哥钝口螈基因 有望令人类拥肢体再生能力(神秘的地球uux.cn报道)...
日本国立感染症研究所成功从患者分离新型
日本国立感染症研究所成功从患者分离新型冠状病毒 助研疫苗(神秘的地球uux.cn报道...
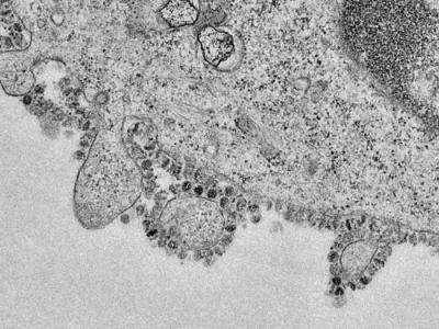
香港大学科学家发布首批新型冠状病毒繁殖
香港大学科学家发布首批新型冠状病毒繁殖的图像 显示感染2019-nCoV冠状病毒的细胞(...
中国科学院武汉病毒研究所最新研究表明新
中国科学院武汉病毒研究所最新研究表明新型冠状病毒可能来源于蝙蝠(神秘的地球uux...
荷兰乌特勒支大学在实验室培育出可分泌毒
研究人员以珊瑚眼镜蛇等的腺体组织细胞(小图),培殖出可制造毒素的人工腺体。传统...
澳洲多尔蒂研究所科学家传称已经复制出新
澳洲多尔蒂研究所科学家传称已经复制出新型冠状病毒(神秘的地球uux.cn报道)据ETt...
澳大利亚墨尔本的Doherty研究所科学家成
澳大利亚墨尔本的Doherty研究所科学家成功地培育出新型冠状病毒(© 照片 : Th...
《生物工程和生物技术前沿》:美国第一批
《生物工程和生物技术前沿》:美国第一批经过基因编辑的雄性小菜蛾被释放到大自然中...
美国伊利诺伊州西北大学科学家现室内灰尘
美国伊利诺伊州西北大学科学家现室内灰尘中的细菌对抗生素有抗药性(神秘的地球uux...
1...
上一页
41
42
43
44
45
46
47
48
49
50
...181
下一页
最新资讯
星际彗星3I/ATLAS在
星际彗星3I/ATLAS在X射线下发光,它可能隐藏着我们从未见过的气体。图片来源:uux....
天文学家在银河系半
半人马座欧米茄球状星团。图片来源:uux.cn查克·阿尤布(神秘的地球uux.cn)据今日...
天文学家发现一个行
示例是基于每个伴星的深曝光10′′ K波段图像堆栈的Keck/NIRC2信噪比映射。这些映射...
银河系边缘巨大的新
美国宇航局的詹姆斯·韦伯太空望远镜最近在我们银河系边缘的Sh2-284星团中拍摄到了...
地球的起源故事可能
本研究假设的系统的示意图。图片来源:uux.cn科学进展(2025年)。DOI: 10.1126/s...
Terra Amata遗址揭
Terra Amata遗址有助于理解欧洲最早人类的技术灵活性。图片来源:uux.cn西班牙国家...
天文学家在金牛座发
示例:来自每个伴星的深度曝光10′′ K波段图像栈的Keck/NIRC2信噪图。这些图是通过...
太平洋深渊中伪装成
头足类分布于东北太平洋的深渊。(a) 显示每个分类单元所有目击记录的地图。(b)...
星际彗星3I/ATLAS消
彗星3I/ATLAS在这张由夏威夷Maunakea双子座北方星的双子座多天体光谱仪(GMOS)拍摄...
人工智能刚刚破解了
日冕物质抛射与太阳色球层的混合图像。图片来源:uux.cn/SOHO—ESA & NASA(神...