香港大学科学家发布首批新型冠状病毒繁殖的图像 显示感染2019-nCoV冠状病毒的细胞
香港大学科学家发布首批新型冠状病毒繁殖的图像 显示感染2019-nCoV冠状病毒的细胞( © 照片 : The University of Hong Kong)
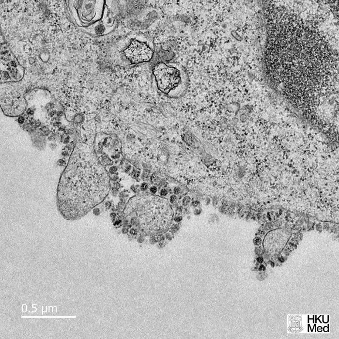
(神秘的地球uux.cn报道)据俄罗斯卫星网:彭博社报道,来自香港大学的科学家发布首批成功记录下新型冠状病毒繁殖的图像。图像显示感染2019-nCoV冠状病毒的细胞。
科学家表示,每一个被病毒感染的细胞都能够产生数千个新病毒颗粒的载体。参与病毒研究的其中一位研究人员约翰·尼科尔斯表示,学校已准备好将研究结果提供给其他无法获得该病毒毒株的科学家。
此前,俄罗斯确诊2例新型冠状病毒感染病例,俄政府已采取措施防止扩散。早前曾决定从武汉市和湖北省撤离俄罗斯公民,当地可能共计有650名俄公民。













