首页
科技新知
宇宙奥秘
航空航天
国家地理
历史军事
动物世界
植物世界
远古生物
未解之谜
探索发现
自然现象
考古发现
户外探险
桌面壁纸
环球趣闻
Science News
神秘的地球
科技新知
生命医学
看一颗干细胞长成完整生物
看一颗干细胞长成完整生视频:看一颗干细胞长成完整生物(神秘...
一种感染两栖类的致命真菌起源于朝鲜半岛
美国牛蛙(Rana catesbeiana)是从美国通过日本引进到台湾的。...
俄罗斯科学家率先复苏冷冻青蛙心脏
俄罗斯科学家率先复苏冷冻青蛙心脏(神秘的地球uux.cn报道)俄...
美国耶鲁大学科学家成功提取并让猪大脑存
美国耶鲁大学科学家成功提取并让猪大脑存活36小时 人类有望永生?(神秘的地球uux....
血压调节激素可能是猴子社交活动的关键性
血压调节激素可能是猴子社交活动的关键性标志(神秘的地球uux...
《重症医学》:遭遇严重外伤时O型血的病
《重症医学》:遭遇严重外伤时O型血的病人死亡率更高(神秘的...
美国耶鲁大学团队成功让猪脑在与身体分离
美国耶鲁大学团队成功让猪脑在与身体分离情况下存活36小时(神...
常潜水至基因转变 “海上游牧民族”印尼
印尼巴瑶族人脾脏较常人大一半。巴瑶族靠潜水找食物。(神秘的...
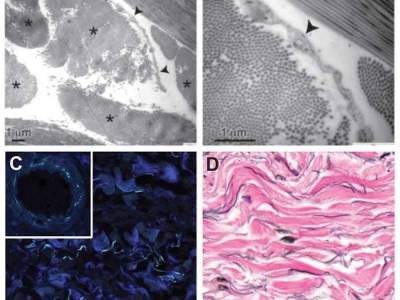
人体又发现新器官?科学家为何现在才发现
间质的胶原蛋白束以星号标记(上图左);箭头指向其中一个细胞...
《微生物组》:狗和人类肠道菌群的基因、
《微生物组》:狗和人类肠道菌群的基因、饮食反应比我们之前认...
1...
上一页
64
65
66
67
68
69
70
71
72
73
...181
下一页
最新资讯
这只2.89亿年前的微
2.89亿年前的爬行动物Captorhinus在洞穴系统中摆出死亡姿势。洞穴中的油渗、高矿化...
世界上最古老的章鱼
Pohlsepia mazonensis解剖图。图片来源:uux.cn托马斯·克莱门茨博士,雷丁大学(神...
12.5万年前尼安德特
E. orbicularis上的切割痕迹来自Neumark-Nord 1。图片来源:uux.cn科学报告(2026年...
22万年前,古代人类
乔乔西遗址展示了早期人类用于制作工具的裸露石层。图片来源:uux.cn/Manuel Will ...
天文学家发现了两个
艺术表现描绘了Markarian 501星系中心,两股强大的喷流从中喷射而出。无线电观测以...
木星和土星的卫星完
本研究模拟的艺术家印象图。木星(左下)拥有强大的磁场,在其环绕行星盘中形成一个...
科学家发现了一个1
仙女座XXXVI的OSIRIS+叠加图像,视场为7.8×7.8弧分。在插图中,可以看到仙女座XXX...
古生物学家最终证实
一只水龙兽胚胎在其部分保存的壳体中重建。 图片来源:uux.cn朱利安·贝努瓦和索菲...
宇航员在太空中也会
你在药店买的那个Dulcolax,就是搭乘Artemis II任务时使用的那个。 图片来源:uux....
两个超大质量黑洞正
这两个黑洞有可能在下个世纪内合并。 图片来源:uux.cn/Deposit Photos(神秘的地球...