首页
科技新知
宇宙奥秘
航空航天
国家地理
历史军事
动物世界
植物世界
远古生物
未解之谜
探索发现
自然现象
考古发现
户外探险
桌面壁纸
环球趣闻
Science News
神秘的地球
科技新知
生命医学
《Cell Reports》:FGF21基因会影响人们
《Cell Reports》:FGF21基因会影响人们对饮酒和甜食的嗜好程...
全部失灵——诺如病毒是如何做到的
全部失灵——诺如病毒是如何做到的(资料图)(神秘的地球uux...
剑桥大学研究人员揭示癌症传染原因
剑桥大学研究人员揭示癌症传染原因(神秘的地球uux.cn报道)剑...
《Cell Stem Cell》:高龄老人的大脑海马
《Cell Stem Cell》:高龄老人的大脑海马体内也能够生成新的神...
科学家指用来治疗虱子和疥疮的伊维菌素可
科学家指用来治疗虱子和疥疮的伊维菌素可杀蚊(神秘的地球uux...
科学家发现可吸震人体组织“间质” 或为
“间质”组织形成了一个蔓延全身的网络。“间质”注满液体后,...
1300万人组成的系谱树告诉我们什么?
这棵系谱树从新的庞大资料集搜集而来,显示包含6000人在内的七...
巴拿马某些两栖动物正对致命真菌产生抵抗力
巴拿马某些两栖动物正对致命真菌产生抵抗力(神秘的地球uux.c...
科学家发现限制肿瘤躲避免疫系统的能力
科学家发现限制肿瘤躲避免疫系统的能力(神秘的地球uux.cn报道...
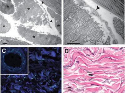
《科学报告》:科学家发现人体新器官“间
科学家认为,「间质」或许就是导致癌细胞扩散至其他器官的原因...
1...
上一页
65
66
67
68
69
70
71
72
73
74
...181
下一页
最新资讯
这只2.89亿年前的微
2.89亿年前的爬行动物Captorhinus在洞穴系统中摆出死亡姿势。洞穴中的油渗、高矿化...
世界上最古老的章鱼
Pohlsepia mazonensis解剖图。图片来源:uux.cn托马斯·克莱门茨博士,雷丁大学(神...
12.5万年前尼安德特
E. orbicularis上的切割痕迹来自Neumark-Nord 1。图片来源:uux.cn科学报告(2026年...
22万年前,古代人类
乔乔西遗址展示了早期人类用于制作工具的裸露石层。图片来源:uux.cn/Manuel Will ...
天文学家发现了两个
艺术表现描绘了Markarian 501星系中心,两股强大的喷流从中喷射而出。无线电观测以...
木星和土星的卫星完
本研究模拟的艺术家印象图。木星(左下)拥有强大的磁场,在其环绕行星盘中形成一个...
科学家发现了一个1
仙女座XXXVI的OSIRIS+叠加图像,视场为7.8×7.8弧分。在插图中,可以看到仙女座XXX...
古生物学家最终证实
一只水龙兽胚胎在其部分保存的壳体中重建。 图片来源:uux.cn朱利安·贝努瓦和索菲...
宇航员在太空中也会
你在药店买的那个Dulcolax,就是搭乘Artemis II任务时使用的那个。 图片来源:uux....
两个超大质量黑洞正
这两个黑洞有可能在下个世纪内合并。 图片来源:uux.cn/Deposit Photos(神秘的地球...