首页
科技新知
宇宙奥秘
航空航天
国家地理
历史军事
动物世界
植物世界
远古生物
未解之谜
探索发现
自然现象
考古发现
户外探险
桌面壁纸
环球趣闻
Science News
神秘的地球
科技新知
生命医学
管理罕见眼部癌症“葡萄膜黑色素瘤”的新
IL-6、IL-13、VEGF-A和PlGF的肿瘤分泌与体外对照治疗的原发性UM患者肿瘤的临床特征...
研究人员发现鹿携带SARS-CoV-2变体,这种
对SARS-CoV-2进行采样和测试的WTD人群的人口统计学。在纽约州(NY)狩猎第一季(20...
克罗恩病的单细胞分析揭示了肠道炎症的详
克罗恩病的单细胞分析揭示了肠道炎症的详细情况( Credit: Immunity (2023). DOI: 1...
揭开气候变化的秘密:将化石代表物与活的
揭开气候变化的秘密:将化石代表物与活的细菌联系起来(神秘的地球uux.cn)据cnBet...
发现侵袭性癌症的原因之一:一种有助于修
研究人员描述了一种阻碍癌症治疗的新的DNA修复机制。资料来源:CireniaSketches/CN...
一个 "缺失的环节" - 研究人员
(神秘的地球uux.cn)据cnBeta:是什么导致了地球上复杂生物体的出现?这是生物学中...
研究发现eDNA可以帮助检测彩虹鱼气味
研究结果:2017年4月,在气味溪和约克河,用eDNA浓度(拷贝数/L)绘制了每一次PCR复...
科学家发现不同动物生命周期背后的进化秘密
研究人员研究的蠕虫,并对其进行了基因组测序。它是一种分段蠕虫,在英国和欧洲海岸...
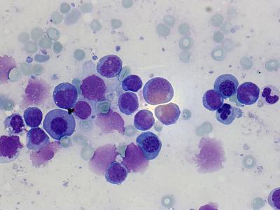
基尔大学:白血病遗传基础的新见解
在AML中,所谓的骨髓细胞的早期前体退化;这些所谓的爆炸(紫色,63倍放大倍率)随后...
新研究可能将复杂生命的进化与microRNA联
新研究可能将复杂生命的进化与microRNA联系起来(神秘的地球uux.cn)据cnBeta:新的...
1...
上一页
7
8
9
10
11
12
13
14
15
16
...181
下一页
最新资讯
一颗陨石飞越欧洲—
2026年3月8日德国黄昏时分流星穿越天空,这颗明亮的天体曾飞越至少五个国家。 图片...
一只长着奇怪鼻子的
由爱荷华大学领导的研究人员描述并命名了一种新出现的鳄鱼物种,该物种在300多万年...
NASA在意外地点发现
这些图形描绘了钱德拉和其他望远镜可能发现的两颗中子星在一个被巨大气体流掩埋的微...
天文学家首次见证了
艺术家对磁星的构想,它被一个吸积盘包围,而磁星因广义相对论的影响而摇晃或进动。...
2026年黄石公园的第
一只灰熊骑在黄石湖附近的野牛尸体上。这不是最近被发现的那只熊。 uux.cn国家公园...
3I/ATLAS彗星充满酒
展示了3I/ATLAS的艺术想象图,它经过太阳附近,照亮了彗星的一侧。彗星靠近太阳的一...
一罐埋藏的帝国金币
大多数硬币为俄国革命前铸造的10卢布金币。 图片来源:uux.cn俄罗斯科学院考古研究...
2026年3月3日月全食
2026年3月3日月全食的阴影(神秘的地球uux.cn)据美国国家航空航天局:2026年3月3日...
这只贵宾犬大小的古
艺术家在距今已有2.15亿年的化石森林国家公园的环境中重建了Sonselasuchus cedrus。...
科学家终于找到了解
Megamastax amblyodus的化石和高分辨率CT重建......图片来源:IVPP,CAS(神秘的地...