首页
科技新知
宇宙奥秘
航空航天
国家地理
历史军事
动物世界
植物世界
远古生物
未解之谜
探索发现
自然现象
考古发现
户外探险
桌面壁纸
环球趣闻
Science News
神秘的地球
科技新知
医药健康
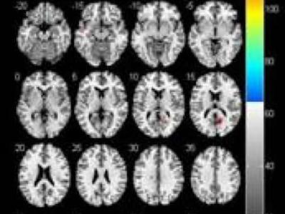
哪些脑区异常可导致帕金森病患者的痴呆?
帕金森病伴痴呆患者较不伴痴呆患者大脑灰质体积显著减少的区域 帕金森是一个多系...
药物组合帮巨噬细胞“吃掉”肿瘤
在合成SIRPα蛋白(CV1单核细胞)和抗癌药物利妥昔单抗的双重打击下,小鼠体内的...
IQ增长并不代表人类越来越聪明
人类的智力正在发生着怎样的变化? 随着时代的发展,人类正变得越来越聪明还是越...
人类眼睛视网膜中的血管宽度或能暗示大脑
拥有较宽的视网膜血管与IQ较低现象相关联 科学杂志《心理科学》近日刊登的一篇文...
我们皮肤痕痒的原因
我们皮肤痕痒的原因 并非所有的瘙痒都可以靠简单的抓挠来解决。大约有15%的人遭...
世界卫生组织:“中东呼吸系统综合征冠状
中东呼吸系统综合征冠状病毒(MERS-CoV virus) 据美国有线电视新闻网5月29日报...
干细胞疗法有可能为中风患者带来康复希望
参与实验的病人中,超过一半出现了好转的迹象。 格拉斯哥大学的Keith Muir教授称...
研究发现咖啡提神或只是心理作用
研究发现咖啡提神或只是心理作用 有实验证明咖啡本身无法提升注意力 喝咖啡能提...
最新研究表明红酒存在“奇迹成份”白藜芦
科学家认为红酒中的白藜芦醇也可延长人类寿命,使人们青春永驻 据英国每日邮报报...
英国科学家发现癫痫和孤独症之间具有一定
据英国每日邮报报道,目前,英国巴斯大学科学家首次发现癫痫和孤独症之间具有一定的...
1...
上一页
323
324
325
326
327
328
329
330
331
332
...357
下一页
最新资讯
在旧博物馆档案中发
2024年6月23日,土耳其范湖盆地的“Rose's polyommatus”。范湖盆地以其气候、丰富...
弱蚂蚁凭借数量优势
从X射线断层扫描中重建的一只蚂蚁工蚁(Myrmoteras sp.)外骨骼的三维重建。图片来...
探索NASA迄今为止最
NASA的SPHEREx用102种红外颜色绘制了整个天空的地图,这些红外颜色对人眼来说是看不...
截瘫工程师成为首位
这张由蓝色起源提供的图片,米凯拉·本索斯在蓝色起源飞船于2025年12月20日星期六降...
观测显示,SN 2022
由NOT/ALFOSC获得的图像构建的复合BVr波段图像。标注了SN 2022ngb与宿主星系UGC 11...
首个宇宙碰撞在距离
艺术表现恒星北落师门环绕盘中两个行星相撞的过程。图片来源:uux.cn托马斯·穆勒(...
两颗中子星可能形成
这位艺术家的概念展示了一个假设的事件,称为超千新星。一颗大质量恒星在超新星爆炸...
古代蜜蜂在骨头内产卵
一块哺乳动物头骨化石,牙齿窝里的沉积物,原来是史前蜜蜂筑的巢穴。图片来源:uux...
腹泻拖慢了罗马士兵
位于英格兰北部靠近哈德良长城的罗马堡垒温多兰达的三世纪浴场和厕所建筑。图片来源...
星际彗星3I/ATLAS在
星际彗星3I/ATLAS在X射线下发光,它可能隐藏着我们从未见过的气体。图片来源:uux....