首页
科技新知
宇宙奥秘
航空航天
国家地理
历史军事
动物世界
植物世界
远古生物
未解之谜
探索发现
自然现象
考古发现
户外探险
桌面壁纸
环球趣闻
Science News
神秘的地球
科技新知
医药健康
英国研究显示吸烟“腐蚀”大脑
研究显示吸烟不但有害身体还会“腐蚀”大脑 英国最新研究显示,吸烟通过破坏记忆...
自闭症源于大脑免疫细胞活动过于频繁
自闭症源于大脑免疫细胞活动过于频繁 据日本《东京新闻》11月27日消息,日本浜松...
研究人员发现“睡美人”症状的真正起因
2011年3月16日,匈牙利科学家塔马斯-弗罗因德在匈牙利民族科学院的医学实验中心举...
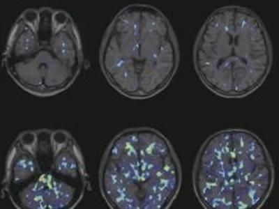
空气污染使50岁以上人群大脑变老三年
空气污染使50岁以上人群大脑变老三年 研究显示,城镇中较高水平的空气污染将使5...
最新研究显示埃博拉病毒可以空气传播
在2007年刚果边境地区爆发埃博拉病毒时,无国界医生正在转移感染患者。 致命性...
人类的智力和情感能力正在逐渐减弱
研究人员称现代人类将逐渐智力下降,这是因为我们不再需要智力来维持生存 研究...
每周食用鲑鱼可预防中风
定期定量食用鲑鱼等多欧米加3脂肪酸鱼类有助预防中风 科学家表示,由于鲑鱼(亦...
英国科学家发现一种坐着就能减肥的方法:
库布里克的《闪灵》被认为是减肥“效果最好”的恐怖片 据台湾“中广新闻网”29日...
研究人员发现饮酒或可导致成大脑细胞的再
研究人员发现饮酒或可导致成大脑细胞的再生量减少40%左右 人们通常认为每天喝几...
研究证实睡觉时选择的姿势能揭示出人的个性
研究证实睡觉时选择的姿势能揭示出人的个性 研究证实睡觉时选择的姿势能揭示出...
1...
上一页
329
330
331
332
333
334
335
336
337
338
...357
下一页
最新资讯
首个宇宙碰撞在距离
艺术表现恒星北落师门环绕盘中两个行星相撞的过程。图片来源:uux.cn托马斯·穆勒(...
两颗中子星可能形成
这位艺术家的概念展示了一个假设的事件,称为超千新星。一颗大质量恒星在超新星爆炸...
古代蜜蜂在骨头内产卵
一块哺乳动物头骨化石,牙齿窝里的沉积物,原来是史前蜜蜂筑的巢穴。图片来源:uux...
腹泻拖慢了罗马士兵
位于英格兰北部靠近哈德良长城的罗马堡垒温多兰达的三世纪浴场和厕所建筑。图片来源...
星际彗星3I/ATLAS在
星际彗星3I/ATLAS在X射线下发光,它可能隐藏着我们从未见过的气体。图片来源:uux....
天文学家在银河系半
半人马座欧米茄球状星团。图片来源:uux.cn查克·阿尤布(神秘的地球uux.cn)据今日...
天文学家发现一个行
示例是基于每个伴星的深曝光10′′ K波段图像堆栈的Keck/NIRC2信噪比映射。这些映射...
银河系边缘巨大的新
美国宇航局的詹姆斯·韦伯太空望远镜最近在我们银河系边缘的Sh2-284星团中拍摄到了...
地球的起源故事可能
本研究假设的系统的示意图。图片来源:uux.cn科学进展(2025年)。DOI: 10.1126/s...
Terra Amata遗址揭
Terra Amata遗址有助于理解欧洲最早人类的技术灵活性。图片来源:uux.cn西班牙国家...