自闭症源于大脑免疫细胞活动过于频繁
自闭症源于大脑免疫细胞活动过于频繁
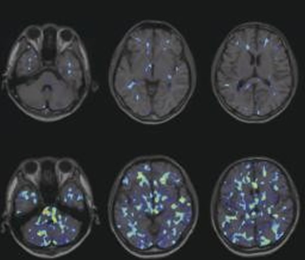
据日本《东京新闻》11月27日消息,日本浜松医科大学研究小组27日在美国医学专业杂志上发表的文章称,他们通过研究发现,患有自闭症的人主要是由于担负大脑免疫功能的小神经胶质细胞过于频繁活动所致。
据悉,为了解小神经胶质细胞的活动情况,研究小组专门在被调查者的头部放置了头部专用阳电子放射断层摄影(PET),并分别对18至30岁之间未进行药物治疗的20名自闭症患者,以及20名非自闭症患者进行了调查。结果显示,与正常人相比,患有自闭症的人,其小脑以及脑干等部位的小神经胶质细胞的活动比较频繁,而小脑与脑干又恰巧都是被认为与患自闭症有关的部位。
环球网 郭晓













