首页
科技新知
宇宙奥秘
航空航天
国家地理
历史军事
动物世界
植物世界
远古生物
未解之谜
探索发现
自然现象
考古发现
户外探险
桌面壁纸
环球趣闻
Science News
神秘的地球
科技新知
医药健康
英国男孩患超忆症拥有超强记忆力
奥雷利昂-海曼能够准确说出任何指定日期他所做的事情的细节 奥雷利昂-海曼在达...
科学家发现延长男性寿命方法:阉割生殖器
18世纪的一位土耳其首领太监 就世界男女平均寿命来说,一般男性的寿命相比女性会...
工作压力大的人群出现心脏病的风险会更高
工作压力大的人群出现心脏病的风险会更高 现代社会中人们常常面临较大的工作压力...
研究战斗压力对部署在阿富汗的士兵的认知
研究战斗压力对部署在阿富汗的士兵的认知影响 对部署在阿富汗之后回国的士兵的一...
艾滋病毒有助于对抗癌症
艾滋病毒有助于对抗癌症 艾滋病是威胁人类健康的一大杀手,让其“弃暗投明”帮助...
遗传因素及饮食或对寿命更重要
限制卡路里摄入的恒河猴与它们更胖的同类衰老得一样快 对于那些在餐桌旁享受快乐...
巴西漫游蜘蛛毒液对男性阳痿有奇特功效
在一项老鼠测试实验中,对老鼠注射巴西漫游蜘蛛毒液促进一氧化氮释放可促进老鼠勃...
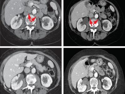
落选癌症药物对部分人群有效
这个膀胱癌患者的转移瘤在服用了一种试验药物后消失了 大多数试验性癌症药物根本...
研究发现每天喝一杯西柚汁能提高抗癌药物
西柚汁能影响肠道中的酶,防止它们分解药物。 一项新的研究发现,每天喝一杯西柚...
轻度忧虑也会增加过早死亡风险
抑郁症会增加过早死亡的风险是研究者早已发现的现象,但一项最新研究又显示,即...
1...
上一页
331
332
333
334
335
336
337
338
339
340
...357
下一页
最新资讯
首个宇宙碰撞在距离
艺术表现恒星北落师门环绕盘中两个行星相撞的过程。图片来源:uux.cn托马斯·穆勒(...
两颗中子星可能形成
这位艺术家的概念展示了一个假设的事件,称为超千新星。一颗大质量恒星在超新星爆炸...
古代蜜蜂在骨头内产卵
一块哺乳动物头骨化石,牙齿窝里的沉积物,原来是史前蜜蜂筑的巢穴。图片来源:uux...
腹泻拖慢了罗马士兵
位于英格兰北部靠近哈德良长城的罗马堡垒温多兰达的三世纪浴场和厕所建筑。图片来源...
星际彗星3I/ATLAS在
星际彗星3I/ATLAS在X射线下发光,它可能隐藏着我们从未见过的气体。图片来源:uux....
天文学家在银河系半
半人马座欧米茄球状星团。图片来源:uux.cn查克·阿尤布(神秘的地球uux.cn)据今日...
天文学家发现一个行
示例是基于每个伴星的深曝光10′′ K波段图像堆栈的Keck/NIRC2信噪比映射。这些映射...
银河系边缘巨大的新
美国宇航局的詹姆斯·韦伯太空望远镜最近在我们银河系边缘的Sh2-284星团中拍摄到了...
地球的起源故事可能
本研究假设的系统的示意图。图片来源:uux.cn科学进展(2025年)。DOI: 10.1126/s...
Terra Amata遗址揭
Terra Amata遗址有助于理解欧洲最早人类的技术灵活性。图片来源:uux.cn西班牙国家...