落选癌症药物对部分人群有效
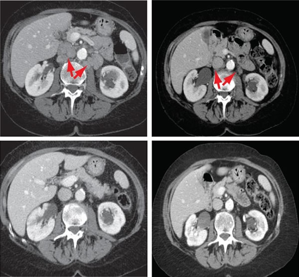
这个膀胱癌患者的转移瘤在服用了一种试验药物后消失了
大多数试验性癌症药物根本无法推向市场,因为它们在早期的临床试验中并没有帮助足够多的人。然而即便在这些“失败”的药物试验中,研究人员依然能够看到一些病人的肿瘤明显缩小了。由于目前还不清楚为什么一些人对药物有响应而大多数人没有,科学家通常都是摇摇头后继续前进。然而研究人员在8月23日报告说,通过对这样一个异常病人的肿瘤进行全基因组测序,他们已经找到了当她服用一种对其他人没有帮助的试验药物后,肿瘤完全消失的原因。这种癌症药物如今有了一个新的生机,并且这样的试验或许有助于挽救其他在实验室研究中表现出希望,但在临床测试中早早败下阵来的癌症药物。
美国纽约市纪念斯隆—凯特琳癌症中心(MSKCC)的研究人员,对于一位转移性膀胱癌女患者在接受了一种名为依维莫司的药物治疗后肿瘤全消的案例感到困惑不解——这种药物的靶点是参与细胞生长的被称为mTORC1的蛋白质。依维莫司对于临床试验中的大多数人都没有作用,并且作为单一的膀胱癌治疗药物已经被放弃。然而MSKCC及纽约市维尔康奈尔医学院的内科学家David Solit指出,这位患者在两年半的时间里都没有患上癌症——对于这种耐受化疗的癌症而言,这是一个“史无前例的漂亮结果”。
Solit的研究小组针对mTORC1通道中的几个基因突变对这位女患者的肿瘤进行了测试,但却一无所获。因此在与加利福尼亚大学旧金山分校生物信息学家Barry Taylor的实验室的合作中,为了进行全基因组测序,Solit的研究小组向一间商业实验室寄出了一份女患者的肿瘤样本。
通过将肿瘤基因组与女患者的正常脱氧核糖核酸(DNA)进行比较,研究人员在两个基因——NF2和TSC1(1型结节性硬化症复合体)——中发现了突变,实验室研究已经表明,这两种基因都位于mTORC1的通道中。TSC1(而非NF2)中的突变还出现在其他几个膀胱癌样本中。尽管TSC1并没有显示在科学家的“雷达”上,但这种基因可能参与其中是讲得通的:生下来就携带了一个TSC1突变的人后来会发育出良性肿瘤。研究人员随后在同一个失败的药物试验中另外13名患者体内寻找了TSC1突变。研究人员在8月23日的美国《科学》杂志网络版上报告说,其中4位肿瘤缩小患者的TSC1存在突变,但在剩下的9人中,只有1人携带了突变却没有对药物发生响应。
Solit和其他学者打算对肿瘤携带了一个TSC1突变的膀胱癌患者进行筛查,从而使其能够在这些患者中更进一步测试依维莫司和其他以mTORC1为靶点的药物。Solit表示:“现在我们有了一个明确的前进道路。”并且他认为,相同的方法还能够用在其他的临床试验中。Solit说:“这将改变我们看待这些异常病例的方式。”他指出,尽管研究人员已经知道某些癌症药物只对在肿瘤中携带了特定突变的病人起作用,而全基因组测序将有助于识别更多这样的遗传变化。
波士顿市马萨诸塞州总医院的癌症研究人员José Baselga说:“这是一个伟大的故事。”曾主持过一项依维莫司乳腺癌临床试验的Baselga如今希望对患者进行TSC1突变测试,从而看看它们是否解释了为什么一些人的响应要好于其他人。Baselga认为,这项研究同时表明,与只用几个候选人来测试一种肿瘤相比,找到药物的敏感基因需要做得更多。他表示:“我们或许不得不走得更远。”
中国科学报 赵路













