最“阴毒”的细菌:导致昆虫自动吃自己的大脑致死
这种大黑蚁常常受到沃尔巴克氏体细菌的感染
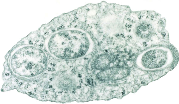
显微镜下的昆虫细胞,细胞内有沃尔巴克氏体细菌
科学家发现了一种最“阴毒”的细菌,当它寄生在昆虫体内时,会导致昆虫自动吃自己的大脑致死。
就细菌而言,其他生物都只是可开发利用的小生境,这意味着几乎每一种动物和植物都有一组细菌病原体伴随它们。这些细菌非常适应寄主体内的生活。然而这些细菌经常使寄主生病,有时甚至死亡。实际上,细菌在寄主体内住的时间越长,对寄主的破坏性越小,毕竟,如果它们的家—寄主被毁掉了,对细菌一点好处也没有。
科学家发现了一种名为“沃尔巴克氏体( Wolbachia)”的寄生性细菌,这种特别的细菌感染昆虫和其它节肢动物后,会导致昆虫和其它节肢动物无法产生雄性后代。
除了把寄主种群的雄性清除,沃尔巴克氏体对寄主的身体不会产生很大的破坏性,但当它们转移到一个新的物种时,它会使新寄主引发各种严重的神经系统并发症,常常导致其死亡。显然,当这种细菌遇到一个新的物种时,会对该物种产生致命的威胁。
事实证明,沃尔巴克氏体对新寄主产生的危险更大,不是因为这种细菌在新领地就任意妄为,而是因为新寄主不知道如何应对它们。新寄主在受到这种细菌感染后往往惊慌失措,特别是当这些细菌聚集在其生殖腺(生殖器官)和中枢神经系统中时,甚至昆虫都“明白”这些部位是不能受到细菌感染的。
当细菌进入细胞内时,昆虫为了保护自己的免疫系统,必须清除它们,而摆脱它们的最好方式是破坏细菌居住的细胞。其中就包括前面所提到的生殖腺和中枢神经系统。当沃尔巴克氏体进入一个新的昆虫物种,该昆虫的第一反应是迅速和有效地破坏存在细菌的细胞。其中最不幸的结果是,昆虫摧毁自己的大脑,引发各种症状,直至死亡。
对于昆虫来说,免疫系统是至关重要的,可以免受细菌、真菌和病毒的攻击。然而,如果昆虫对威胁的反应过度,受伤害的只能是自己。昆虫对于沃尔巴克氏体的最好的回应应该是学会应对它,而不是试图发动反击,因为这样可能会对自己造成致命的伤害。
搜狐科学 尚力














