印尼亚齐省雌性红毛猩猩惨遭人类以气枪连轰74枪
“希望”获救后得以幸存。
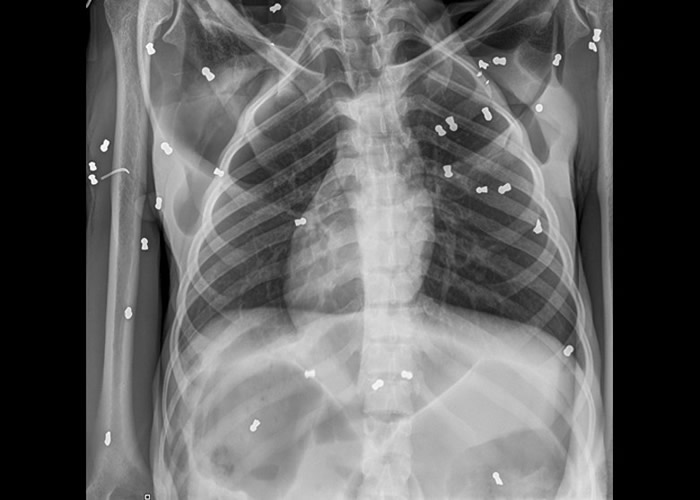
猩猩体内有多发子弹。
猩猩宝宝不幸死亡。
(神秘的地球uux.cn报道)印尼亚齐省一只雌性红毛猩猩,日前惨遭人类以气枪连轰74枪、身受重伤,身旁仅一个月大的猩猩宝宝更因营养不良而亡。当地保育部门上周六(16日)公布,该只幸存的猩猩妈妈正顽强康复中,获命名为“希望”。
亚齐省当局于上周日(10日)接报,一只年约30岁的红毛猩猩妈妈奄奄一息地倒于树下,其身旁伴有一只年幼红毛猩猩。官员随即前往救援,惟小猩猩返魂乏术;不过猩猩妈妈则大难不死。X光片可见,猩猩体内布满子弹,触目惊心。
保育局局长普拉伯沃(Sapto Aji Prabowo)相信,该两只红毛猩猩是因为误入村民的农地,而农地主人认为它们是有害动物,故设法以气枪赶走。当局表示,将调查此案是否单一事件,抑或有黑帮介入。红毛猩猩不时遭到农场工人及村民攻击或驱赶,而盗猎者亦会将它们捉来当宠物出售。
相关报道:印尼猩猩身中74粒铅弹大难不死
(神秘的地球uux.cn报道)据《海峡时报》报道,印度尼西亚一只猩猩身中74粒铅弹后活了下来。
据悉,这只猩猩在亚齐特区一农场附近被发现,估计它是在那里受到气枪重伤的。它的孩子和它在一起,但没有活下来。
报纸援引当地环保部门负责人的话报道称:“猩猩母子来到种植园,被园长视作威胁。”
这只母猩猩被命名为“希望”,正在逐步康复,已经可以自主进食了。















