首页
科技新知
宇宙奥秘
航空航天
国家地理
历史军事
动物世界
植物世界
远古生物
未解之谜
探索发现
自然现象
考古发现
户外探险
桌面壁纸
环球趣闻
Science News
神秘的地球
科技新知
生命医学
英国斯旺西大学医学院团队分析北爱尔兰古
英国斯旺西大学医学院团队分析北爱尔兰古老土壤发现新种菌株 ...
数位大体能够取代真正的人类大体吗?
这幅高解析度的立体数位男性影像图,是由维克多.史毕泽(Vic Spitzer)与大卫....
《科学》杂志选择单细胞基因活性分析作为
《科学》杂志选择单细胞基因活性分析作为其2018年的科学年度突...
人体内发现新蛋白 或能帮助医生找到治疗
人体内发现新蛋白 或能帮助医生找到治疗埃博拉病毒的新方法(...
深圳南方科技大学贺建奎另一基因编辑研究
深圳南方科技大学贺建奎另一基因编辑研究 采400人类胚胎(神秘...
南方科技大学生物系副教授贺建奎争议!宣
南方科技大学生物系副教授贺建奎争议!宣称成功修改基因免疫艾...
南方科技大学生物系副教授贺建奎宣称成功
基因编辑技术存在道德论理争议。贺建奎受访时解释编辑基因的技...
中国南方科技大学科学家贺建奎宣布世界首
中国南方科技大学科学家贺建奎宣布世界首例基因编辑婴儿诞生(神秘的地球uux.cn报道...
俄罗斯新西伯利亚国家医学研究中心研发的
俄罗斯新西伯利亚国家医学研究中心研发的人造心脏在迷你猪身上...
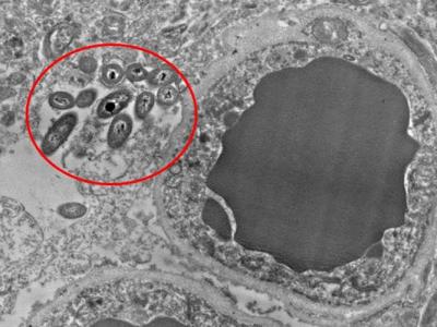
美国脑神经科专家在人类大脑组织中发现肠
研究人员在大脑组织切片的血管旁,发现肠道细菌(红圈)。(神...
1...
上一页
58
59
60
61
62
63
64
65
66
67
...181
下一页
最新资讯
这只2.89亿年前的微
2.89亿年前的爬行动物Captorhinus在洞穴系统中摆出死亡姿势。洞穴中的油渗、高矿化...
世界上最古老的章鱼
Pohlsepia mazonensis解剖图。图片来源:uux.cn托马斯·克莱门茨博士,雷丁大学(神...
12.5万年前尼安德特
E. orbicularis上的切割痕迹来自Neumark-Nord 1。图片来源:uux.cn科学报告(2026年...
22万年前,古代人类
乔乔西遗址展示了早期人类用于制作工具的裸露石层。图片来源:uux.cn/Manuel Will ...
天文学家发现了两个
艺术表现描绘了Markarian 501星系中心,两股强大的喷流从中喷射而出。无线电观测以...
木星和土星的卫星完
本研究模拟的艺术家印象图。木星(左下)拥有强大的磁场,在其环绕行星盘中形成一个...
科学家发现了一个1
仙女座XXXVI的OSIRIS+叠加图像,视场为7.8×7.8弧分。在插图中,可以看到仙女座XXX...
古生物学家最终证实
一只水龙兽胚胎在其部分保存的壳体中重建。 图片来源:uux.cn朱利安·贝努瓦和索菲...
宇航员在太空中也会
你在药店买的那个Dulcolax,就是搭乘Artemis II任务时使用的那个。 图片来源:uux....
两个超大质量黑洞正
这两个黑洞有可能在下个世纪内合并。 图片来源:uux.cn/Deposit Photos(神秘的地球...