首页
科技新知
宇宙奥秘
航空航天
国家地理
历史军事
动物世界
植物世界
远古生物
未解之谜
探索发现
自然现象
考古发现
户外探险
桌面壁纸
环球趣闻
Science News
神秘的地球
科技新知
医药健康
研究显示地球大气的过量二氧化碳不仅会影
研究显示地球大气的过量二氧化碳不仅会影响气候 还会使人类变得迟钝(© Sputni...
工作和爱好如何影响退休人员罹患心血管疾
工作和爱好如何影响退休人员罹患心血管疾病的风险(© Depositphotos / Belchon...
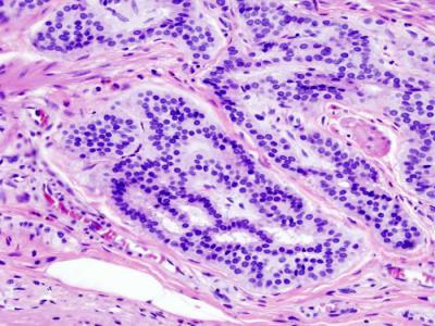
研究发现转移性结直肠癌在初始治疗后进行
癌症-结肠癌的组织病理学图像。(Credit: Wikipedia/CC BY-SA 3.0)(神秘的地球uu...
摄入咖啡因可能有助于防止不良饮食习惯对
摄入咖啡因可能有助于防止不良饮食习惯对健康造成的某些后果(神秘的地球uux.cn报道...
高脂饮食可能导致女性出现严重大脑健康问题
高脂饮食可能导致女性出现严重大脑健康问题(神秘的地球uux.cn报道)据cnBeta:一项...
新癌症药物AMG 510将很快进入2期临床试验
新癌症药物AMG 510将很快进入2期临床试验 针对基因突变KRAS(神秘的地球uux.cn报道...
俄罗斯营养学家建议不要将酸菜、蘑菇以及
俄罗斯营养学家建议不要将酸菜、蘑菇以及辛辣和腌制食物跟香槟一起食用(神秘的地球...
咖啡因可能弥补不正确饮食的负面作用 减
咖啡因可能弥补不正确饮食的负面作用 减慢脂质代谢的沉积并减低甘油三脂的水平(...
科学家:定期去参观观瞻艺术有助于延年益寿
科学家:定期去参观观瞻艺术有助于延年益寿(© Sputnik / Alexey Kudenko)(神...
小狗可能是美国顽固抗药性细菌的病原体
小狗可能是美国顽固抗药性细菌的病原体(神秘的地球uux.cn报道)据俄罗斯卫星网:《...
1...
上一页
126
127
128
129
130
131
132
133
134
135
...357
下一页
最新资讯
天文学家们以为他们
这位艺术家的概念展示了两个在北落师门恒星轨道上猛烈碰撞的场景。图片来源:uux.c...
这些羽毛恐龙有翅膀
1.6亿年前的Anchiornis化石。图片来源:uux.cn/Communications Biology(2025年)。...
这颗微小的化石头骨
Paleolophus yunnanensis头骨。图片来源:朱敏教授团队(神秘的地球uux.cn)据今日...
这个非洲洞穴保存了
在帕洪洞穴表面发现的陶片。图片来源:uux.cn/Angue Zogo等,2025年,PLOS One,CC...
科学家们解码了350
从内部观察到蒙纳卡洞宽阔的入口,展示野外活动。图片来源:uux.cn费利切·拉罗卡,...
古代冰河时代的基因
古代冰河时代的基因至今可能仍在帮助人类延长寿。图片来源:uux.cn/iStock(神秘的...
在旧博物馆档案中发
2024年6月23日,土耳其范湖盆地的“Rose's polyommatus”。范湖盆地以其气候、丰富...
弱蚂蚁凭借数量优势
从X射线断层扫描中重建的一只蚂蚁工蚁(Myrmoteras sp.)外骨骼的三维重建。图片来...
探索NASA迄今为止最
NASA的SPHEREx用102种红外颜色绘制了整个天空的地图,这些红外颜色对人眼来说是看不...
截瘫工程师成为首位
这张由蓝色起源提供的图片,米凯拉·本索斯在蓝色起源飞船于2025年12月20日星期六降...