首页
科技新知
宇宙奥秘
航空航天
国家地理
历史军事
动物世界
植物世界
远古生物
未解之谜
探索发现
自然现象
考古发现
户外探险
桌面壁纸
环球趣闻
Science News
神秘的地球
科技新知
医药健康
热带紫玉盘属花卉所含的活性物质“Grand
热带紫玉盘属花卉所含的活性物质“Grandifloracin”能够杀死胰腺癌细胞(© CC...
武汉科技大学研究称白天打盹或夜间睡眠超
武汉科技大学研究称白天打盹或夜间睡眠超过9个小时的人患中风风险会增加(© D...
德国心脏病专家谈如何保护自己免受心脏病
德国心脏病专家谈如何保护自己免受心脏病侵扰(© Depositphotos / Belchonock...
美国商业新闻社彭博社:《中国的癌症治疗
美国商业新闻社彭博社:《中国的癌症治疗比其他任何地方都更快,更便宜》(© ...
《临床精神医学杂志》:研究显示找到生活
《临床精神医学杂志》:研究显示找到生活意义的人更健康(© Depositphotos / ...
医学博士讲述何种因素可以引起高血压并如
医学博士讲述何种因素可以引起高血压并如何加以预防(© 照片 : Pixabay)(神...
研究发现食用燕麦籽提取物可降低血液中胆
研究发现食用燕麦籽提取物可降低血液中胆固醇的水平(CC BY 2.0 / Mitsos Manios /...
日本东京大学医学研究所团队研发出可预防
日本东京大学医学研究所团队研发出可预防埃博拉感染及扩散的疫苗“iEvac-Z”(神秘...
美国总统特朗普考虑缩减大药厂生物制剂知
美国总统特朗普考虑缩减大药厂生物制剂知识产权保护年期 换国会通过美墨加协定(神...
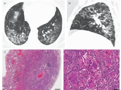
美国加州中年妇女吸食电子烟半年罹患罕见
(右上下图)女患者的肺部影像图,可见不少细胞受损。左上下图为健康肺部。美国发现...
1...
上一页
128
129
130
131
132
133
134
135
136
137
...357
下一页
最新资讯
天文学家在银河系晕
Abeona的ASKAP 943.5 MHz总强度图像(G310.7-5.4)。图片来源:arXiv(2026年)。D...
人类开始直立行走的
人类开始直立行走的真正原因(神秘的地球uux.cn)据今日科学新闻(穆罕默德·图欣)...
为什么人类和尼安德
为什么人类和尼安德特人有如此大的差异?(神秘的地球uux.cn)据今日科学新闻(穆罕...
古老的骨粉揭示了尼
部分采样的骨骼标本被选中用于科瓦埃罗斯的古源子组学分析。图片来源:Bal-García...
西班牙河谷发掘了7
霍尔蒂圭拉瓦尔帕莱索遗址的石器工业。图片来源:西班牙国家人类进化研究中心(神秘...
科学家发现了拯救人
科学家们发现了拯救人类但未能拯救尼安德特人的古代网络秘密。图片来源:编辑团队使...
巨大的构造升降机将
澳大利亚维多利亚州的十二使徒。图片来源:马克·卡塞尔(神秘的地球uux.cn)据今日...
2026年5月天象:一
2024年5月5日,Eta Aquariids流星雨出现在斯里兰卡坎达拉马的夜空中。与大多数主要...
大质量气态巨行星在
计算机模拟行星在双星盘中形成的过程。图片来源:中央兰开夏大学(神秘的地球uux.c...
古代类星体双胞胎在
艺术家关于两个类星体正在合并的概念。图片来源:国际双子座天文台/NOIRLab/NSF/AU...