英国64岁妇人酗酒40年背部长“驼峰” 患上罕见马德龙病(Madelung disease)
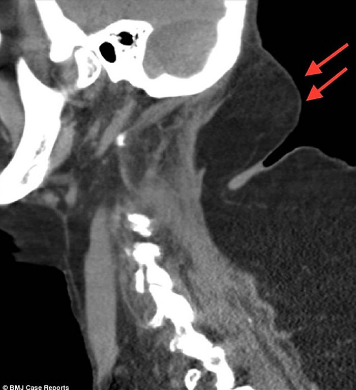
该名六旬妇人背部隆起(箭嘴示),犹如长有驼峰。
经检查后,发现病人患上罕见的马德龙病。
病人同意停止饮酒,但不愿意接受手术。
妇人颈部及手臂同样长有囊肿。
患上此病的大多为男性
相关视频:马德龙病
(神秘的地球报道)英国一名饮酒长达40年的64岁妇人,因长时间酗酒,导致背部隆起,长出一个类似驼峰的物体,于是到医院求医。医生看到妇人的颈部及手臂同样有囊肿后,到网上查证,发现她患上罕见的马德龙病(Madelung disease)。
根据《英国医学期刊》披露,该名妇人当日到来求诊时,意识混乱、无法告知时间,双手双脚亦无力。医生其后发现病人的上半身遍布囊肿,经血液测试后,确认她患上酮酸中毒。酮酸中毒一般见于患上一型糖尿病的人士,情况罕见并可致命。
现时医学界亦不清楚酗酒如何导致患上马德龙病,但指非饮酒人士或会因DNA的转变,也有机会患上该病。经过与医生讨论后,该名妇人决定停止饮酒,但不愿意接受手术。
新闻背后:马德龙病成因未明 男性患病率高
(神秘的地球报道)马德龙病(Madelung's disease)又称良性对称脂肪过多症(Benign symmetric lipomatosis),因德国外科医生马德龙(Otto Wilhelm Madelung)首次详细描述该病而得名。患上此病的人士,头部、颈部及肩膀都会有大量的脂肪积聚。
该病的成因暂时未明,但相信这与酗酒有强烈的关系。有病例显示,病人的肾上腺脂肪分解功能受影响,体内亦积聚了不少褐色脂肪组织。据悉这个罕见病症的发病率为2.5万分之1,男性的患病率较女性多出30倍。

















