一名罹患淋巴癌的61岁男性感染新冠肺炎后体内癌细胞神奇大量消失
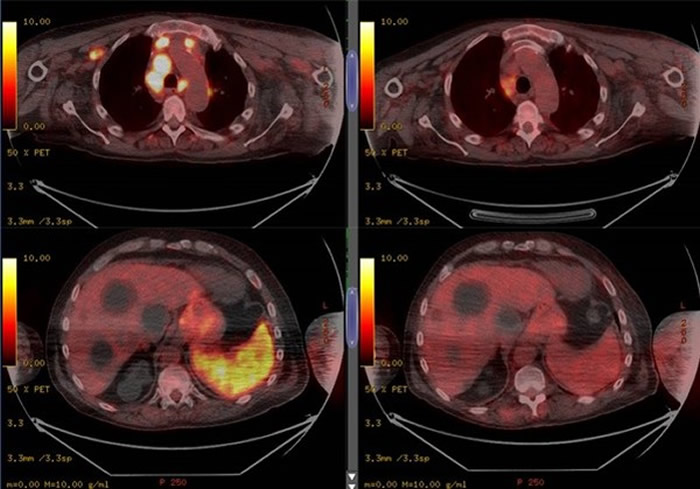
一名病患在感染新冠肺炎后体内癌细胞大量消失,右图为染疫后的造影。(图/翻摄自British Journal of Haematology)
研究人员推测新冠病毒激发人体抗癌的免疫反应,右图为染疫后的造影。(图/翻摄自British Journal of Haematology)
(神秘的地球uux.cn报道)据ETtoday(张宁倢):英国医学杂志日前发现,一名罹患淋巴癌与严重肾脏病的61岁男性,因呼吸困难再度住院时,被检测出新冠肺炎的阳性反应,而4个月之后,正子断层照影(PET/CT)却显示他体内的肿瘤大部份都消失了。研究人员不排除是新冠病毒触发了人体的抗肿瘤免疫反应。
致力于科学、工业、医学等学术领域的约翰威立出版社(Wiley),日前刊登了一篇《英国血液学杂志》(British Journal of Haematology)的临床案例报告,一名有严重肾病的61岁男子,肾脏移植失败之后,已经停止免疫抑制治疗3年了,又因晚期霍奇金氏淋巴瘤(Hodgkin's lymphoma)与体重锐减被转介到血液科,癌细胞扩散身体各处。
雪上加霜的是,男子发现罹癌后又因为呼吸困难而再度入院,这次则是被确诊为新冠肺炎,住院11天之后症状缓解,便在家中休养,期间并无任何皮质类固醇治疗或免疫化疗,没想到,4个月后的PET/CT复检却显示,体内大部份的肿瘤都消失了,与肿瘤相关的生物指标水准也下降了至少9成。
报告指出,虽然研究人员并不确定肿瘤消失的确切原因,但他们提出的假定为,新冠病毒可能触发了人体抗肿瘤的免疫反应,推测的作用机制包含病原体特异性T细胞与肿瘤抗原的交叉反应,以及染疫后产生的促炎性细胞因子(Inflammatory cytokine)活化了自然杀手细胞(NK cell)。
此案例并不代表新冠病毒或其他病原体能用来治疗癌症,这样的病例虽然不是首见,但仍然十分罕见。然而,透过激发人体免疫反应,以治疗癌症或其他疾病的概念却已在试验中得到证实,例如卡介苗(BCG)不仅能防止感染结核病,也能提升对其他疾病的防护能力。
相关报道:神奇案例!癌症晚期患者感染新冠后肿瘤竟然大有好转
(神秘的地球uux.cn报道)据环球时报:一名61岁患有严重肾病和晚期霍奇金淋巴瘤的患者,在感染新冠病毒四个月之后,体内的大部分肿瘤竟消失了……《英国血液学杂志》近日发表的一篇文章介绍了这样一个神奇的案例。《英国血液学杂志》1月2日发布的这篇文章介绍称,这名61岁患者患有严重的肾病,曾在3年前接受过一次肾脏移植,但不幸失败,此后一直长期依赖透析治疗。
在住院接受治疗期间,他又被发现患有晚期霍奇金淋巴瘤且已转移,CT检查显示他的身体各处都有活跃的癌细胞。
祸不单行的是,就在确诊癌症晚期后不久,他出现了呼吸困难和气喘的症状,随后被确诊感染了新冠肺炎。在住院治疗11天后,他被安排出院回家休养。
然而就在四个月后,CT复查发现这名患者体内的大部分肿瘤竟然消失了,与肿瘤相关的生物标志物水平也下降了90%以上。而这期间,他没有用过任何免疫化疗和皮质类固醇治疗。
文章称,虽然此前也出现过癌症患者在感染其他疾病后肿瘤消失的先例,但是这种病例仍然是非常罕见的。
目前研究人员并没有确认肿瘤消失的原因,不过他们提出的假说认为,新冠病毒的感染触发了这名患者体内的抗肿瘤免疫反应。
也就是说,在原有疾病和新感染的新冠病毒的冲击之下,这位患者自身的免疫系统被激活“开了个大”,因而意外治好了癌症。不得不说这是一个值得探究的“医学奇迹”……














