澳洲袋鼠头部中箭仍能到处行走

澳洲一只袋鼠头部中箭仍大难不死

澳洲一只袋鼠头部中箭仍大难不死

袋鼠遭人用箭射穿头

袋鼠遭人用箭射穿头

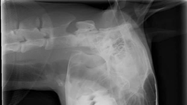
中箭袋鼠的X光图片

中箭袋鼠的X光图片

袋鼠眼睛上面有明显的箭孔

袋鼠眼睛上面有明显的箭孔

袋鼠头部中箭后,仍能到处走。

袋鼠头部中箭后,仍能到处走。

(神秘的地球报道)澳洲一只袋鼠在上月31日被发现遭人用箭射穿头,但仍能到处走,当局9天后才找到它。兽医为它拔箭,并对它仍能生存下来啧啧称奇。

这只袋鼠生命力顽强,兽医把箭拔出后,为它洗伤口,再给它吃止痛药和抗生素。兽医称,它头部中箭仍大难不死,而且没有受到永久性损伤,实在是奇迹。警方现正追缉2名曾拿着十字弓出现的男子,怀疑涉案。





上一篇 下一篇 TAG: 澳洲 袋鼠