全球首例:台湾高雄女子去扫墓觉得眼睛刺痛 原来飞入4只汗蜂
全球首例:台湾高雄女子去扫墓觉得眼睛刺痛 原来飞入4只汗蜂
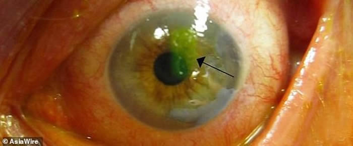
(神秘的地球uux.cn报道)临近清明节,台湾高雄一名20岁何姓女子上周六(3月30日)去扫墓,除草时隐隐觉得左眼刺痛,还以为是隐形眼镜破碎。惟她4小时后下山求诊时,左眼已肿胀如咸蛋超人般,且视力大减。医生其后从她左眼中夹出4只活生生的汗蜂。辅英科技大学附设医院眼科教授洪启庭表示,汗蜂入眼是全球首宗。
何女到院时,左眼并发蜂窝性组织炎,且角膜发炎和受损,视力从1.0骤降至0.1(正常值为1.0)。经检查,医生发现有数只汗蜂在她左眼内,全部都奄奄一息。幸她住院和用药5天后,视力已恢复8成,目前已经出院。
台湾大学昆虫系教授萧旭峰表示,汗蜂属“膜翅目集蜂科”蜂类,学名Halictidae,喜欢吸人类的汗水,大多生活于海拔1000米以下的地上、枯树枝里,扫墓和登山时都会遇到。
洪启庭说,幸何女没有揉眼睛,若汗蜂在眼睛里面被压碎,会引至角膜溃疡及感染,严重恐失明。他建议民众扫墓时记得戴护目镜,因可防止蚊虫及烧纸钱的烟灰,当异物入眼时千万不要揉,应用清水冲洗并尽快就医。
相关报道:数只活蜜蜂被从一位台湾病人的眼中取出
(神秘的地球uux.cn报道)据《每日邮报》报道,在一位对眼科医生抱怨自己眼痛的台湾女病人身上发生了一件世界医疗实务史上的惊人案例。
这名女孩称,她去清理自己亲属的墓地,就蹲在那里。突然一阵风吹过,不知什么东西掉进了她的眼里:要么是沙子,要么是泥土。她用水清洗了眼睛,但是到了晚上,开始发痒,还流泪。然后女孩就向医生求助。在当地诊所检查后,医生在她的眼窝发现了数只活蜜蜂。 这些蜜蜂被小心翼翼地取出并进行研究。
原来,蜜蜂吃了四个小时的眼泪。它们会引起皮肤感染和角膜炎症。医生已经确定,这些蜜蜂属于集蜂科(Halictidae)。人的汗味会吸引它们。它们会爬到衣服和头发里,引起过敏反应。
当地诊所的眼科主治医生指出,这个病例在世界上是独一无二的。
相关报道:在一名台湾女子的眼睑下发现蜜蜂
(神秘的地球uux.cn报道)据亚洲新闻频道网站报道,四只蜜蜂被从“发现病人眼睛中露出毛爪”的医生取出。
主治医生称,在这位女士开始寻找治疗眼睛瘙痒和水肿的药物后,发现了这些小虫子。
他认为,这可能是世界上第一起这样的案例。
医生称,这位29岁的女子在上个月给自己的先辈坟墓除草后出现了问题,她当时感觉到有什么飞进了她的眼睛。
医生说,“还好,蜜蜂并没有伤害到眼睛,并很快就被拿出来了。”
病人一开始以为是隐形眼镜引起瘙痒,也就没揉眼睛。马来西亚媒体指出,如果她这么做,可能会挤死有毒的蜜蜂并导致她失明。这位女士需要三天时间恢复。















