香港大学研究揭开H7N9短期感染人类之谜
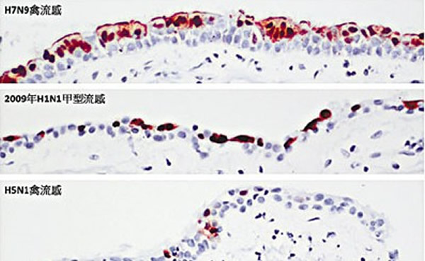
图片显示人类支气管上皮组织,棕色部分显示被病毒感染的细胞,蓝色部分显示非感染的细胞。研究指H7N9病毒与2009年的甲型流感(H1N1)病毒相似。
据香港《文汇报》报道:H7N9禽流感病毒于今年年初肆虐内地多个省份,香港大学研究发现病毒在短时间内感染人类的原因。研究指,H7N9病毒能高度适应在人类呼吸道感染和复制,较H5N1病毒更易引发人类流感大流行的威胁。研究更指出,H7N9病毒专门感染人类肺部的关键细胞“二型肺泡上皮细胞”,是次研究结果对日后解开该病毒会否人传人等问题甚有帮助。该研究25日在国际科学期刊《Lancet Respiratory Medicine》上发表。
自今年2月至今,已确认134宗人类感染H7N9病毒的个案,酿成43人死亡,相信感染源头是家禽,但直至目前为止,没有证据显示H7N9病毒能人传人。香港大学研究团队利用体外培植的人体呼吸道组织,包括支气管和肺部,比较H7N9病毒、2009年H1N1病毒(俗称猪流感)和H5N1禽流感病毒的感染能力,揭开病毒短时间内感染大量人类个案之个中原因。
研究发现,H7N9病毒容易感染人类支气管上皮细胞,情况与2009年H1N1病毒相似,且复制能力较H5N1病毒强,相信更易引发人类流感大流行的威胁。研究更发现,H7N9病毒专门感染能令肺组织再生和修复损害的关键细胞“二型肺泡上皮细胞”,阻碍患者的肺部修复及感染后的恢复过程
感染细胞阻肺修复
有份参与研究的香港公共卫生学院病毒学讲座教授裴伟士指出,研究发现禽流感病毒感染人类呼吸道的能力,能决定这些病毒是否能有效由禽鸟传染到人类。该研究同时对评估该病毒在人体的适应力,甚至导致该病毒在人与人之间传播的可能性等问题甚有帮助。故他认为是次结果对日后的研究十分重要。(神秘的地球uux.cn)












