内源性大麻素系统(ECS)可能直接参与了人睾丸的生理调节
内源性大麻素系统(ECS)可能直接参与了人睾丸的生理调节
(神秘的地球uux.cn报道)据EurekAlert!:《科学报告》发表的一项研究通过考察15位患者的组织样本发现,内源性大麻素系统(ECS)可能直接参与了人睾丸的生理调节,包括精细胞发育。
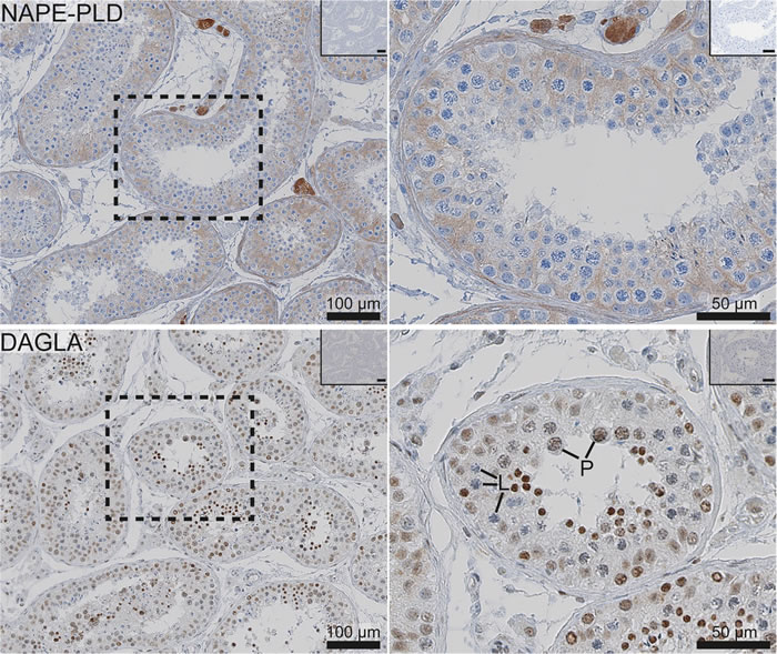
内源性大麻素是一种神经递质。ECS是由内源性大麻素以及大麻素相关受体、酶和蛋白共同组成的一个信号传导系统。在人体内,ECS一直被认为与精子质量和功能有关。不过,此前甚少有信息表明ECS成分在人睾丸组织中是否存在,以及它们在精细胞发育中的可能作用。
Niels E. Skakkebaek和同事收集了15位睾丸生殖细胞癌患者的睾丸组织样本,并考察其中是否存在ECS的各种成分。作者发现,人睾丸中确实存在ECS成分,包括主要的内源性大麻素——2-花生四烯酰甘油酯(2-AG)。此外,作者还在精细胞发育的各阶段发现了FAAH和ABHD2一类的2-AG降解酶以及内源性大麻素受体,并在不同的精细胞发育成熟期检测到了不同的ECS组成模式。
研究结果显示,ECS不仅存在于人睾丸中,还可能参与了睾丸功能、尤其是精细胞发育的调节。研究结果丰富了已有认知,即大麻使用与年轻男性的精液质量和生殖激素水平变化相关。不过,内源性大麻素在人体生殖器官中的功能仍需进一步研究,以明确大麻使用可能造成的健康影响。
论文通讯作者联系方式:
Niels Skakkebaek
丹麦,哥本哈根,Rigshospitalet医院
Tel: +45 35 45 50 85; E-mail: nes@rh.dk












