中国唐朝时期发生的一次彗星撞地球事件
《旧唐书》文中有记载
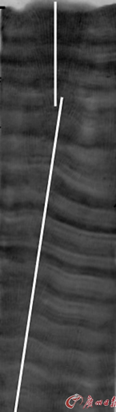
将滨珊瑚样本沿中心切成8毫米的珊瑚薄片后,用X光照相,从X光照片上可以看到清晰的珊瑚年生长条纹(类似于树轮,14毫米/年)(照片提供人:中国科学技术大学刘羿博士)。
用专用钻机钻取的化石滨珊瑚岩芯。地点为三亚小东海,其生长年代为唐代。
(神秘的地球)据广州日报(李文):最近,日本科学家通过对雪松碳十四的研究发现:在中国唐朝时期,地球上发生过一次奇怪的大气碳十四含量突然增加事件。这次事件在欧洲也有明显的记录。碳十四是由宇宙射线照射到大气中氮发生核反应而形成的,这次碳十四大幅度增加事件是通常所认为的太阳耀斑或者是宇宙射线增强造成的吗?中国的地球科学家们通过解读三亚小东海的滨珊瑚“史书”,给出了不同的解答——这其实是发生在公元773年冬天的一次彗星撞地球事件!
珊瑚记载的自然史突发事件
1997年,中国科学技术大学的专家们从三亚小东海采集回来了一批滨珊瑚化石岩芯样本。这些用专门的钻探机械钻取的岩芯样本看起来灰灰白白,很不起眼,生长的年代却是遥远的唐朝。珊瑚对于研究地球化学与环境历史的地质学家们而言,是难得的自然史书。它们跟巨大的雪松、洞穴里的石笋一样,都能用自身每个寒暑的缓慢生长来记录并映射出地球环境历史的点点滴滴。
2012年6月,国际知名学术期刊《自然》报道过,日本的科学家在雪松年轮中发现在公元774年放射性碳十四含量在一年之内突然增加了1.2%,引起了科学家们的广泛关注。很多科学家们认为那一年前后有可能发生了强烈的太阳耀斑或者超新星爆发事件,还有科学家们认为那时宇宙可能发生了伽马射线暴(来自天空中某一方向的伽马射线强度在短时间内突然增强,随后又迅速减弱的现象)。
如果按照这种解释思路,导致如此幅度的变化需要正常射线变化10~20倍。如果伽马射线暴发生的距离够近,那么对当时地球上的生物圈的破坏会是巨大的,而史书中却没有这样的记载。针对这一发现,中国的学者开始用滨珊瑚寻找新的解释。最近,中国科学院广州地球化学研究所、中国科学技术大学、台湾大学、中国科学院地球环境所、中国科学院自然科学史研究所和北京大学组成的合作研究团队给出了更有力的解读——这次放射性碳十四含量激增的突发事件,很可能是彗星落入地球大气造成的,而发生的时间,在公元773年冬天(该论文发表在了最新一期的英国《自然》杂志社(Nature Publishing Group)的《科学报道》(《Scientific Reports》)期刊上)。
珊瑚中的碳十四增加可能是彗星撞击造成的
在中科院广州地球化学研究所,记者见到了该研究课题的带头人孙卫东研究员和该论文的共同第一作者张兆峰研究员。“长久以来,地球历史时期大气碳十四含量的异常变化都被单一归结为宇宙射线强度的变化,比如太阳耀斑和超新星爆发等引起的碳十四含量增加。但发生在公元773年左右的这次碳十四激增却无法用传统的太阳质子事件或者伽马射线流来解释。通过对同时期珊瑚碳十四、碳氧同位素、高精度铀钍年代学等方面的厘定研究后,我们发现,这次突然的增加事件发生在公元773年冬天,并且有三次时间跨度在4周内的脉冲式增加,每个脉冲强度均超过正常宇宙射线变化的数十倍,其大幅度快速波动的特征完全不同于传统宇宙射线增强导致碳十四含量增加后逐渐递减的特征。”孙卫东说,“实际上,这种变化更可能是彗星落入地球造成的。”当彗星落入大气时,很快烧毁,这个过程中释放大量的碳十四,被海洋表面的珊瑚和陆地上的树木年轮记录下来。“除了在南海的珊瑚上,在欧洲和日本的树木上都留下了这次彗星撞击事件引起的碳十四激增记录,影响波及整个北半球。为此我们遍寻古籍。”孙卫东说。
《旧唐书》和《新唐书》有彗星闯入的记载
幸运的是,研究者从中国的历史资料中找到了对应的记载。在《旧唐书》和《新唐书》的记载中,唐代宗大历七年,确实出现了非常壮观的彗星天象。《新唐书天文志》里有写着这样的话:“[大历]七年十二月丙寅,有长星于参下。其长亘天。长星,彗属。”《旧唐书》则记载着:“[大历七年十二月]丙寅雨土,是夜长星出于参。”大历七年十二月丙寅对应的时间正是公元773年的1月17日,这与珊瑚碳十四含量增加的起始年代和季节均非常接近。当时彗星撞击的天象非常壮观。“当时长安的‘土’,有可能是彗核碎裂造成的。‘其长亘天’也说明彗星进入了地球大气的范围。”孙卫东解释说,“中科院自然科学史研究所副所长孙小淳研究员查找出了这些史料。我们国家古代重视观测星象,古代天文学文字记录的全面,常令国外同行深感羡慕。”这颗彗星有多大呢?孙卫东表示它的规模尚不足以与哈雷彗星相比。“如果是哈雷彗星这种等级的,有可能让大气中碳十四的量增长几十乃至上百倍,而不仅仅是增加1.5%。据估计哈雷彗星上一次通过近日点丢失约1.5亿吨的物质,其所含的碳十四可能已经接近大气中碳十四的总量。”
珊瑚每天都在“写”地球“总结”
为什么选择珊瑚做分析样本?孙卫东指出,珊瑚生长速度很快,每年可以生长20毫米左右,相比雪松的年轮,珊瑚的分辨率更高。在取样的时候,我们根据珊瑚的X-射线影像加密取样,每个年轮取25个样品,相当于每隔两周一个样品。这种高分辨率使得我们的分析数据能做得更加精细,与氧同位素分析配合,能将彗星撞击事件发生的事件锁定在公元773年的冬季,接近温度最低的季节。
张兆峰也告诉记者:“相比之下,石笋的生长最慢,十几年才长1毫米,可以给出更长时间尺度的记录。雪松每年生长1毫米左右,其优点是可以准确定年。虽然在判断年代时,珊瑚不如雪松精准,但珊瑚在显示季节的变化上更为准确。珊瑚一年能生长15~20毫米,是雪松的十几倍。这就使得珊瑚样本有最准确的分辨率。可以明显地看出在冬天长得比较慢,结构致密,颜色更深,而夏天长得更快,更疏松,颜色也较浅。根据氧同位素等可以勾画出其生长环境的温度、降水变化。形象来说,珊瑚不是一年写一次地球环境总结,而是每天都在写总结。珊瑚的这种高分辨率使得我们做的分析数据能更加细致。”
从珊瑚史书中寻找科学证据有助于未来研究
这次研究发现有着怎样的意义?孙卫东说:“以前把大气碳十四波动简单归结为宇宙射线的变化,现在看来需要重新认识。”张兆峰说:“用珊瑚做碳十四测定为我们的解读提供了精度非常好的数据。这个发现不仅更新了我们对地球历史时期大气碳十四含量变化成因的认识,也为研究史前彗星和地球大气作用提供了一种新的途径,丰富了我们对地球的认识。探索用珊瑚、石笋、树轮这些古气候古环境信息载体来回答有关地球气候变化问题的方法,也能有贡献于我们的古气候研究。科学家们相信,地球大气变化是有规律可循的,了解过去的信息,有助于我们回答地球气候未来变化等问题。”
张兆峰认为,也许以后我们通过测量黄土、湖泊沉积物中的碳十四成分,有可能会找到这颗彗星落下的具体地点。“珊瑚是一本史书,它能告诉我们古代海平面的变化,气温、降雨的变化。能告诉我们几千年前夏天是不是来得更早一些。”张兆峰说,“也许,未来我们不但可以回答碳十四激增的现象是在哪一年的哪个季节发生的,还可以精确到是在哪一天发生的。”这种从珊瑚史书中寻找科学证据的工作并没有听上去那么简单,每个数值都需要耗费科学家很大的精力。















