美国新研究发现:逆境下长大的儿童较易有精神及生理健康问题
研究指在多重逆境下长大的儿童,其脑部主管情绪和判断能力的区域较小。
研究由儿童心理学家卢比(右)领导进行。
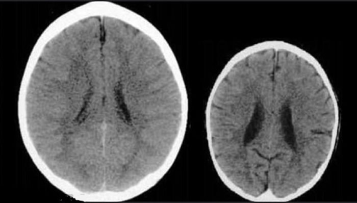
佩里长示的电脑扫描照片显示,缺乏关怀照顾的小童脑部(右)较其他小童小得多。
(神秘的地球uux.cn报道)美国一项新研究发现,孩童如果在成长阶段经历多次逆境,会影响其脑部发展,主管情绪和判断能力的区域较其他一般孩为小,长大后亦较易有精神及生理健康问题。
华盛顿大学医学院儿童心理学家卢比(Joan Luby)领导团队,追踪研究119名3岁至6岁小童的成长过程,当中的小童在8岁之前,平均曾经历过逾5次不同的逆境,包括天灾、父母被捕、父母重病入院治理等。
在这些被研究的小童6至13岁期间,研究人员为他们作多次脑部磁力共振检查,其中第一次检查在他们入学年龄进行。结果发现,这些小童脑部主管情绪和判断能力的前额叶脑回区 (inferior frontal gyrus),较其他成长过程较稳定的小童为小。当踏入少年期后,前者有严重抑鬱的机会较后者多15%,患上哮喘、肠胃失调等生理毛病的亦多25%。
卢比表示,这可能是因为经历逆境的小童父母不在身边,要自己照顾自己,以致饮食营养欠佳和较多遇上危险环境,从而令他们脑部发展较其他小童为差。卢比的团队在去年亦曾作一项研究,发现缺少父母家人照顾的小童,成长后较易患心脏病、癌症及精神病。
而美国德州儿童医院教授佩里(Bruce Perry)早前亦曾在一个医学研讨会上,展示2张健龄同为3岁的儿童脑扫描照片,其中一人在成长期间被疏忽照顾,其脑部体积明显较小,而且扫描出来的影像模糊,而该小童亦有严重心理创伤。佩里由此指出,缺乏关怀照顾,对小童脑部成长会造成极大影响。















