研究发现法老王拉姆西斯三世是被人割喉后死亡
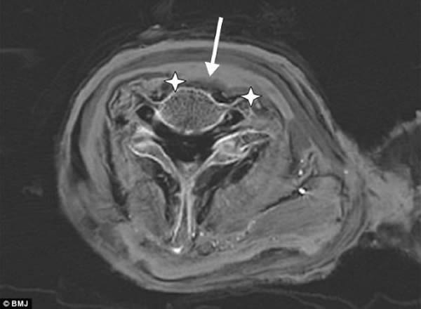
拉美西斯三世的颈部轴向CT剖面图:星迹指示的是他脖子上一道2.7英寸(6.86厘米)伤口的边缘处,箭头指向已经渗入伤口的防腐材料
喉部伤口:法老拉美西斯三世的木乃伊上缠着亚麻裹尸布,这妨碍了研究人员发现他脖子上的伤口
拉美西斯三世的颈部轴向CT剖面图:星迹指示的是他脖子上一道2.7英寸(6.86厘米)伤口的边缘处,箭头指向已经渗入伤口的防腐材料
法老王拉姆西斯三世,公元前1182至1151年统治埃及。他的死一直被层层迷雾包裹
据美国有线电视新闻网(CNN)报道,公元前1182至1151年,法老王拉姆西斯三世统治埃及。他的死一直被层层迷雾包裹。一些阴谋论认为拉姆西斯三世被毒蛇咬死或者被人毒死。根据一项新研究发现,这位法老王在被人割喉后死亡,幕后元凶是他的儿子彭塔瓦尔。
长久以来,拉姆西斯三世的死因一直困扰着研究人员,五花八门的阴谋论应运而生,例如被毒蛇咬死,被人下毒和遭人暗杀。如果死于暗杀,杀手又是谁呢?研究人员表示拉姆西斯三世死在一名杀手手上。暗杀阴谋由他的其中一个妻子和她希望继承王位的儿子策划。
刊登在《英国医学杂志》上的研究论文指出,经过对拉姆西斯三世的木乃伊进行CT扫描,研究人员发现喉咙处存在一个深深的切口,可能由一把锋利的匕首造成。这场暗杀行动在一场皇室政变时进行。研究论文称:“我们的CT扫描发现了拉姆西斯三世遭人割喉的证据。”CT扫描显示,拉姆西斯三世的喉咙、颈部和动脉均被割断,立时毙命。
研究人员表示:“喉咙不可能在死后遭受损伤,因为在1886年打开拉姆西斯三世木乃伊时,其颈部衣领完好无损,没有遭受一点损伤。当时,人们用锤子从这具木乃伊身上敲掉一层厚厚的沥青。证明遭人暗杀致死的进一步证据是,伤口处发现了霍鲁斯(古埃及的太阳神)之眼护身符。这个护身符位于软组织深处,穿过利器造成的伤口,直达骨头。护身符的发现证明在制作木乃伊前这个伤口就已存在。”
新研究认为拉姆西斯三世的其中一个妻子和她的儿子策划了这场暗杀。检测结果显示他的儿子彭塔瓦尔就是凶手。一具编号E的不名男子木乃伊的主人据信就是彭塔瓦尔。他的木乃伊不具有皇室特征,例如使用山羊皮包裹尸体。这种做法可能是为了惩罚他的弑父行为。研究人员表示:“使用山羊或者绵羊皮包裹皇室成员的尸体是一种非常罕见的做法,因为古埃及人认为羊皮污浊不堪。”基因研究显示拉姆西斯三世和这名不名男子拥有相同血统。拉姆西斯三世在论文中被称之为“伟大的神”。公元前1182至1151年,这位法老王统治埃及,死后王位被另一个儿子继承。
新浪科技 孝文















